« Volver atrás

Mujer de 38 años con habla escandida y ataxia

Imagen Principal
Presenta:
Abril Pulenta - Julieta Marquardt
Sin foto
Discusión a cargo:
Valentina Palazzesi - Mariana Lagrutta
Sin foto

Enfermedad actual: Consulta por cuadro de 20 días de evolución, de inicio súbito y curso progresivo caracterizado por inestabilidad en la marcha, requiriendo asistencia para deambular.  

Por dicho cuadro, consulta inicialmente en efector de su localidad, donde cursó internación por 72 horas con tomografía de cráneo y columna cervical sin alteraciones de jerarquía, otorgándole el alta hospitalaria.

De 10 días de evolución aproximadamente, agrega alteración en el habla (habla escandida) y exacerbación de su cuadro clínico,  por lo que es derivada a nuestro efector. 

Niega cefalea, fiebre, hipoacusia, disminución de la agudeza visual, diplopía, diarrea, tos, disnea y  otros síntomas. 

Antecedentes personales

  • Enfermedades del adulto: 
    • Hipotiroidismo diagnosticado en 2023.
    • No adherente a controles de salud.
  • Internaciones previas: solo en contexto de cesáreas.
  • Antecedentes gineco-obstétricos: 
    • Gestas 3, cesáreas 2, abortos 1. 
    • Sin uso de métodos anticonceptivos. FUM: durante la consulta. 
  • Antecedentes Traumáticos: Niega.
  • Antecedentes Quirúrgicos: Niega.
  • Antecedentes Alérgicos: Niega alergia medicamentosa
  • Medicación habitual: Levotiroxina 50 mcg/día (inicio hace 1 mes aproximadamente
  • Vacunación: Sars Cov 2, única  dosis.
  • Hábitos tóxicos: tabaquista 7 paq/año. Consumidora de alcohol ocasional. Niega consumo de otras drogas


Antecedentes familiares:

Padre: Desconoce

Madre: Desconoce

Hermanas/os: No posee

Hijos/as: Sanos


Examen físico:

  • Impresión general: Buen estado general. 
  • Signos vitales: TA 110/60  mmHg, FC 107  lpm, FR 16 rpm, T° 36.7 ºC, SatO2 98% (0.21) 
     
Peso: 80 kgAltura: 1.55 cmIMC: 33.3
  • Piel: Máculas hiperpigmentadas faciales, sin cicatrices. 
  • Cabeza: Ojos: conjuntivas rosadas, escleras blancas. Movimientos oculares no dolorosos. Fosas nasales: permeables sin secreciones ni epistaxis. Puntos sinusales negativos. Cavidad bucal: mucosas húmedas. Lengua central sin lesiones. Piezas dentarias en mal estado. 
  • Cuello: cilíndrico, simétrico, no se palpan adenopatías ni tiroides. Sin ingurgitación yugular. Pulsos carotídeos simétricos, sin soplos. Acantosis nigricans. 
  • Tronco: diámetro anteroposterior normal, sin cicatrices. Mamas: sin nódulos ni depresiones, ni secreción por pezón. Columna: sonora, indolora. Puño-percusión: negativa bilateral. 
  • Aparato Respiratorio: respiración costo abdominal, sin utilización de músculos accesorios, reclutamiento abdominal, tiraje intercostal/supraclavicular, ni aleteo nasal. Expansión de bases y vértices conservada. Excursión de bases conservadas. Sonoridad conservada. Murmullo vesicular conservado, sin ruidos agregados.
  • Aparato Cardiovascular: ritmo cardíaco regular, ruidos cardíacos normofonéticos, sin soplos ni R3/R4.
  • Abdomen: abdomen globuloso a expensas de panículo adiposo, sin estigmas de circulación colateral ni cicatrices. Blando, depresible e indoloro. Sin visceromegalias. Timpanismo conservado. Traube libre Ruidos hidroaéreos conservados. 
  • Neurológico: Vigil, orientado en tiempo, espacio y persona. Lenguaje: nómina y repite, palabra escandida. Comprende: comandos y órdenes complejas. Pupilas: isocóricas reactivas y simétricas. Nistagmo horizonto-rotatorio, excepto en la supra abducción. Movimientos oculares externos: completos. Pares craneales: impresionan conservados. Reflejos osteotendinosos: Hiperreflexia rotuliana bilateral. Sensibilidad: táctil superficial conservada. Coordinación: Dismetría a la prueba dedo nariz. Hipermetría en la prueba tobillo rodilla. Respuesta plantar: indiferente bilateral. Hoffman: positivo bilateral. Marcha: aumento de la base de sustentación, inestable. Romberg ps. Sin signos meníngeos.
  • Extremidades: Superiores: Tono, trofismo y movilidad conservados. Pulsos conservados. Sin edema ni adenopatías. Inferiores: Tono, trofismo y movilidad conservados. Homans y Ollows negativos. Sin edemas ni adenopatías.
  • Región Perineal y genital: vulva e introito sin lesiones ni secreciones.


Exámenes Complementarios previos: 

  • Tomografía cráneo y columna sin contraste (internación previa): CRÁNEO: No se observan sangrados axiales ni extra axiales. Línea media respetada. Las cavidades ventriculares son de tamaño y morfología normal. La relación sustancia blanca/gris no está alterada. Los surcos corticales son visibles. A nivel de la fosa posterior, el cuarto ventrículo está en línea media y tiene tamaño normal. Cavidades aéreas del cráneo libres. Sin lesiones óseas evidentes. COLUMNA CERVICAL : Relación occipitoatloideo y atloaxoidea conservada. Conducto endomedular respetado. Espesor de tejidos blandos prevertebrales conservados. Sin lesiones óseas evidentes.


Exámenes Complementarios: 


 

Laboratorio:Dia 0Día 6Día 8
Hemoglobina (g/dL)13.814.313.1
Hematocrito (%)414137
VCM (fl)79.379.379
HCM (pg)26.727.427.8
Glóbulos blancos (/mm)63401487012560
Neutrófilos (%)-9287
Eosinófilos (%)-00
Basófilos (%)-00
Linfocitos (%)-57
Monocitos (%)-24
Plaquetas (/mm)315000376000360000
Glicemia (mg/dl)7620994
Urea (mg/dl)192732
Creatinina (mg/dl)0.680.680.64
Sodio (mEq/l)137136138
Potasio (mEq/I)3.693.533.90
Cloro (mEq/l)9999100
Calcio (mg/dL)9.6- 
Fósforo (mg/dL)3.3- 
Magnesio (mg/dL)1.8- 
Bilirrubina total (mg/dL)0.65-0.31
TGO (UI/L)32-21
TGP (UI/L)84-90
FAL (UI/L)68-57
GGT (UI/L)24-26
Amilasemia (UI/L)--24
VES (mm/1° hora)9--
PCR (mg/L)0.6--
TP (seg)13.61314.2
KPTT (seg)272525
  • Radiografía tórax frente (Dia 0): centrada, bien inspirada y penetrada. Indice cardiotorácico conservado.No se observan infiltrados pleuroparenquimatosos. Senos costofrénicos y cardiofrénicos libres. 
  • Serología VIH (Día 0):  No reactivo
  • Serología VHB (Dia 0):  No reactivo
  • Serología VHC (Dia 0): No reactivo
  • VDRL suero (Dia 0): No reactivo 
  • Tirotrofina (TSH) (Dia 0):  1.42 uUI/ml (VN: 0.27-4.20)
  • T4 libre sérica (T4L) (Dia 0):  1.49 ng/dl (VN: 0.93-1.7)
  • Dosaje de ácido fólico (Dia 0):  18 ng/ml (5.39-20)
  • Dosaje de vitamina B12 (Dia 0):  No se disponen reactivo. 
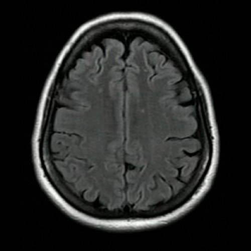
  • Angio RMI de cráneo (Dia 2):  Se visualizan lesiones en la sustancia blanca subcortical de centros semiovales y coronas radiadas, hiperintensas en T2/FLAIR, sin restricción en difusión/ADC, de aspecto inespecífico. Podrían estar en relación a trastorno de la microvasculatura, de larga data.  Las regiones ganglio basales son de características habituales. El sistema ventricular supratentorial es de forma tamaño y situación normal.En la fosa posterior el 4º ventrículo es de forma tamaño y situación normal. No se observan alteraciones en la intensidad de la señal hemisferios cerebelosos  los cuales son de morfología habitual.  El tronco encefálico no mostró alteraciones. En la secuencia angiográfica 3D TOF se observa dilatación sacular en la porción inferior del segmento supraclinoideo de la arteria carótida interna izquierda, que mide 2.2 mm, con un cuello de 2.6 mm. Agenesia arteria comunicante posterior izquierda. Las restantes estructuras vasculares del polígono de Willis, son de trayecto calibre y señal flujo conservados, no identificándose alteraciones.
  • Cito fisicoquímico de líquido cefalorraquídeo (Dia 2): color y aspecto límpido incoloro. Glucorraquia: 0.56 g/l. Proteinorraquia: 0.28 g/l. Pandy negativo . Elementos: 12/mm3. Tinta china: no se observan elementos levaduriformes compatibles con Cryptococcus sp.  . VDRL: no reactiva. 
  • PCR Virus varicela zoster, Virus Herpes simplex tipo I y II en LCR (Dia 2): No reactivos
  • Fracción C3 complemento (Dia 2): 121 mg/dl (VN: 103-145)
  • Fracción C4 complemento (Dia 2):  17 mg/dl (VN: 20-50)
  • Factor antinuclear (FAN) (Dia 2): No reactivo 
  • Mycoplasma pneumoniae anticuerpos IgG y IgM (Dia 2): No reactivo 
  • Gonadotrofina coriónica humana (Dia 5): < 1  mUI/ml 
  • Anticuerpos anti Gliadina (AGA IgA) (Dia 5): pendiente
  • Acs anti transglutaminasa tisular IgA (atTG) (Dia 5): pendiente
  • Ecografía ginecológica (Día 9): Útero en antero- verso-flexión, de tamaño conservado. Miometrio heterogéneo, se visualiza en cara anterior fúndica una imagen hipoecogénica, redondeada, intramural, que mide 13.6 mm, compatible con núcleo miomatoso. Endometrio lineal. Ambos ovarios de características ecográficas conservadas. Fondo de saco de Douglas libre.


Evolución: 

Curso internación en sala general y fue evaluada en conjunto con servicio de Neurología por síndrome atáxico en estudio. A su ingreso, se realizó Angio resonancia de cráneo que no evidenció alteraciones, se realizó una punción lumbar sin hallazgos de jerarquía, con posterior resultado negativo para virus de varicela zoster y herpes simple. 

Al día 5 de internación se realizó pulso de metilprednisolona por 3 días, sin evidencia de mejoría posterior. 

Por mantenerse estable clínicamente se decide su alta hospitalaria, debiendo seguir control estricto por consultorio externo con ambos servicios tratantes


Pendientes: 

  • Resultado anticuerpos pendientes.
  • Seguimiento en consultorio externo por equipo de Neurología y clínica Médica


 

No hay información de la discusión.

No hay información de la evolución.

Anexo 1. Radiografía de tórax frente

Anexo 1. Radiografía de tórax frente

Anexo 2. Angio RMI de cráneo: Corte transversal. Secuencia t2 flair

Anexo 2. Angio RMI de cráneo: Corte transversal. Secuencia t2 flair

Anexo 3. Angio RMI de cráneo. Reconstrucción 3d.

Anexo 3. Angio RMI de cráneo. Reconstrucción 3d.