« Volver atrás

Varón de 49 años con pérdida de peso y diarrea de un año de evolución.

Imagen Principal
Presenta:
Berrío Alejandro - Cavallo Francina
Sin foto
Discusión a cargo:
Palazzesi Valentina - Lagrutta Mariana
Sin foto

Enfermedad actual: 

Paciente varón de 49 años, es derivado desde consultorio externo, por cuadro de 1 año de evolución caracterizado por diarrea no disenteriforme de 2-3 episodios por día que posteriormente en los últimos 3 meses aumenta a 10 deposiciones diarias. Asociado  presenta pérdida de peso de 18 kg aproximadamente, de igual tiempo de evolución. 

Al interrogatorio dirigido refiere dolor abdominal difuso, anorexia y registros subfebriles constatados de 1 semana de evolución. Niega fiebre, vómitos, u otra sintomatología.

Cabe destacar que por dicho motivo el paciente se encontraba en seguimiento por equipo de Clínica Médica, Gastroenterología e inmunología de forma ambulatoria.

Antecedentes personales

  • Enfermedades del adulto: 
  • Inmunodeficiencia común variable, diagnosticada a los 26 años, en tratamiento con inmunoglobulina intravenosa mensual desde hace 13 años en hospital de día en Hospital Centenario. 
  • Internaciones previas: 
  • Múltiples internaciones previas por infecciones respiratorias bajas, una de ellas con requerimiento de oxigenoterapia a alto flujo en Unidad de Cuidados Intensivos. 
  • Antecedentes Traumáticos: niega.
  • Antecedentes Quirúrgicos: Apendicectomía en la infancia. 
  • Antecedentes Alérgicos: Niega alergias medicamentosas
  • Medicación habitual: Gammaglobulina cada 30 días. 
  • Vacunación: Covid 3 dosis. 
  • Hábitos tóxicos: Niega.

Antecedentes familiares:

  • Padre: fallecido con antecedentes de hipertensión arterial.
  • Madre: vive sin antecedentes.
  • Hermanas/os: 4 hermanos vivos y sanos.
  • Hijos/as: una hija sana. 

Examen físico:

  • Impresión general: Buen estado general. Impresiona adelgazado.
Peso: 51 kgAltura: 1.62IMC: 19
  • Signos vitales: TA 100/60  mmHg, FC 96 lpm, FR 16 rpm, T° 37.3 ºC, SatO2 96 % (0.21) 
  • Piel: sin alteraciones pigmentarias, sin cicatrices.
  • Cabeza: Ojos: conjuntivas rosadas, escleras blancas. Movimientos oculares no dolorosos. Fosas nasales: permeables sin secreciones ni epistaxis. Puntos sinusales negativos. Cavidad bucal: mucosas húmedas. Lengua central sin lesiones.
  • Cuello: cilíndrico, simétrico, no se palpan adenopatías ni tiroides. Sin ingurgitación yugular. Pulsos carotídeos simétricos, sin soplos.
  • Tronco: diámetro anteroposterior normal, sin cicatrices. Columna: sonora, indolora. Puño-percusión: negativa bilateral. 
  • Aparato Respiratorio: respiración costo abdominal, sin utilización de músculos accesorios, reclutamiento abdominal, tiraje intercostal/supraclavicular, ni aleteo nasal. Expansión de bases y vértices conservada. Excursión de bases conservadas. Sonoridad conservada. Murmullo vesicular conservado, presenta finos rales crepitantes en base pulmonar izquierda.
  • Aparato Cardiovascular: ritmo cardíaco regular, ruidos cardíacos normofonéticos, sin soplos ni R3/R4.
  • Abdomen: abdomen excavado, sin estigmas de circulación colateral ni cicatrices. Blando, depresible e indoloro. Sin visceromegalias. Timpanismo conservado. Traube libre Ruidos hidroaéreos conservados. ruidos hidroaéreos aumentados 
  • Neurológico: Vigil, orientado en tiempo, espacio y persona. Lenguaje: nomina y repite. Comprende: comandos y órdenes complejas. Pupilas: isocóricas reactivas y simétricas. Movimientos oculares externos: completos. Pares craneales: impresionan conservados. Reflejos osteotendinosos: positivos en los miembros evaluados. Sensibilidad: táctil superficial conservada. Coordinación: sin alteraciones. Respuesta plantar: indiferente bilateral. Hoffman: negativo bilateral. Marcha: conservada. Sin signos meníngeos.
  • Extremidades: Superiores: Tono, trofismo y movilidad conservados. Pulsos conservados. Sin edema ni adenopatías. Inferiores: Tono, trofismo y movilidad conservados. Homans y Ollows negativos. Se palpan adenopatías inguinales bilaterales, móviles no dolorosas a la palpación, siendo la de mayor tamaño la del lado derecho. 
  • Región Perineal y genital: No evaluado. 


Exámenes Complementarios previos: 

  • TAC de tórax sin contraste (31/03/2025): adenopatías mediastinales subcarinales de 16mm. Múltiples pequeñas bronquiectasias de paredes gruesas, asociado a discreto patrón de árboles en brote y pequeñas atelectasias laminares.
  • Esteatocrito acido (02/06/2025):  50 % (VN 0-2)
  • Elastasa pancreática (02/06/2025): sin reactivo
  • Perfil tiroideo (02/06/2025): TSH 2.68 uUl/ml (VN 0.27-4.20), T4 1 ng/dl (VN: 0.93-1.70)
  • Dosaje vitamina B12 (02/06/2025): 561 pg/ml (VN 211-911).
  • Perfil de hierro (02/06/2025): ferremia 196 ug/dl (VN 59-195), TIBC 273 ug/dl (VN 228-428); % sat de transferrina 38.1% (VN 20-55); ferritina 639.5 ng/ml (V 30-400). 
  • Coprocultivo (02/6/2025): negativo
  • Videoendoscopia digestiva alta/ Videocolonoscopia (8/8/25): mucosa duodenal con disminución de la altura vellositaria con atrofia focal e hiperplasia crítica focal, linfocitos aumentados (50/100). Moderada duodenitis en actividad a nivel del corion con formación de acúmulos y folículos linfoides. Pólipo en ciego con hiperplasia secretora del epitelio glandular con acúmulo linfoide. Mucosa de íleon distal con hiperplasia secretora del epitelio superficial y glandular e infiltrado inflamatorio crónico.
  • Parasitológico seriado de material fecal (29/10/2025): tamizado negativo, examen directo: no se observan estructuras parasitarias. 
  • Sangre oculta en material fecal (29/10/2025): negativo
  • Calprotectina (29/10/2025): 600 ug/g (VN: 0-50)
  • Examen materia fecal (29/10/2025): marrón, diarreica, ph 6, glúcidos escasos, fibras musculares digeridas regular cantidad, fibras musculares semidigeridas regular cantidad, fibras musculares sin digerir escasas, grasas neutras escasas, jabones abundantes.
  • Estudio genético (17/11/25): Serotipo HLA DQ 5 DQ7 sin asociación a enfermedad celíaca. 


Exámenes Complementarios actuales:

 

Laboratorio:DÍA 1DÍA 2
Hemoglobina (g/dL)13.713.9
Hematocrito (%)3738
VCM (fl)82.983.7
HCM (pg)30.430.3
Glóbulos blancos (/mm)1032011060
Plaquetas (/mm)263.000288.000
Glicemia (mg/dl)8886
Urea (mg/dl)3130
Creatinina (mg/dl)0.880.83
Sodio (mEq/l)143146
Potasio (mEq/I)3.703.21
Cloro (mEq/l)107107
Calcio (mg/dL)9.0-
Fósforo (mg/dL)3.0-
Magnesio (mg/dL)1.7-
pH7.28-
pCO2 (mmHg)53.6-
pO2 (mmHg)17.4-
Exceso de base (mmol/L)24.9-
HCO3 (mmol/L)24.9-
SatO2 (%)22.5-
Ácido láctico (mmol/L)2.15-
Bilirrubina total (mg/dL)0.420.41
TGO (UI/L)37-
TGP (UI/L)63-
FAL (UI/L)187-
GGT (UI/L)70-
Amilasa (UI/L)29-
Proteínas totales (g/dL)6.10-
Albúmina (g/dL)3.6-
CPK (UI/L)27-
LDH (UI/L)174-
VES (mm/1° hora)11-
PCR (mg/L)41.4-


Radiografía de tórax (DÍA 0): sin neumoperitoneo, sin signos de consolidación parenquimatosa. Seno costofrénico izquierdo impresiona ocupado.

  • ECG (DÍA 1) Ritmo sinusal, FC 70 lpm, Eje cardiaco conservado, Intervalo PR 0.16 seg, Complejo QRS 0.08seg, no se observa signos subjetivos de isquemia.
  • Proteinograma por electroforesis (DÍA 1): Proteínas Totales 6.10 g%, Albúmina 3.90 g%, Alpha 1 0.20 g%, Alpha 2 0.73 g%, Beta 0.65 g%, Gamma / Inmunoglobulinas 0.38 g%, Interpretación de proteinograma en suero: Discreta disminución de inmunoglobulina.
  • Virus Epstein Barr (DÍA 1): anticuerpos IgG Positivo. Título: 1/400 
  • Citomegalovirus anticuerpos IgG (DÍA 1): 108.00 U/ml
  • Proteinograma por electroforesis (DÍA 1): pendiente 
  • Serologías (DÍA 1): Virus de hepatitis C y virus de hepatitis B no reactivos.
  • Coprocultivo (DÍA 1): Negativo en curso.
  • TAC de cuello con contraste EV (DÍA 1): Marcado engrosamiento mucoso de ambos senos maxilares, con nivel hidroaéreo en su interior, de contenido denso. Ocupación mucosa parcial de celdillas etmoidales. Desviación dextroconvexa del tabique nasal.
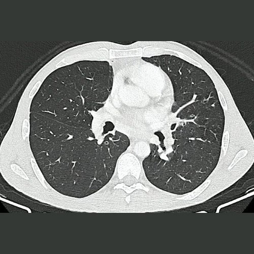
  • TAC de tórax con contraste EV (DÍA 1): Persiste adenopatía mediastinal subcarinal de 16 mm de diámetro en su eje corto. El resto de los ganglios mediastinales visibles son de tamaño y morfología normal. El árbol traqueobronquial no presenta alteraciones. El análisis del parénquima pulmonar muestra múltiples pequeñas bronquiectasias de paredes gruesas, asociadas a discreto patrón de árbol en brote y a pequeñas atelectasias laminares subsegmentarias, en segmento anterior del lóbulo superior derecho, lóbulo medio, segmentos lingulares, y segmentos basales de ambos lóbulos inferiores. Hallazgos ya presentes en estudio anterior. 
  • TAC de abdomen y pelvis con contraste EV (DÍA 1): Ambos riñones son de forma, tamaño y situación habituales. Concentran y excretan la sustancia de contraste e.v. adecuadamente. Se observa discreta ectasia piélica de riñón izquierdo, la pelvis renal mide 11 mm, asociado a dilatación de la unión piélica-uretero que alcanza 16 mm de calibre. No se observan imágenes de urolitiasis. No se observan alteraciones a nivel del tracto gastrointestinal. Adecuada progresión del contraste oral hasta asas ileales distales. Calcificación redondeada peri prostática de 7 mm.
  • GeneXpert de materia fecal (DÍA 2): Pendiente
  • Parasitológico seriado (DÍA 2): pendiente


Evolución:

Cursó internación por 48 horas en Sala General para estudio de sindrome constitucional, donde se realizó tomografía de cuello, tórax, abdomen y pelvis, destacando presencia de adenopatía subcarinal de 16 mm y patrón de árbol en brote.

Fue evaluado por el Servicio de Neumología y se acordó realizar lavado bronco alveolar de forma programada. 

Además se acuerda en conjunto con equipo de gastroenterología tratante solicitar nuevos estudios endoscópicos programados (videoendoscopia digestiva alta y baja).

Por presentar buen estado general, se decide otorgar alta hospitalaria a espera de internación programada para realización de lavado broncoalveolar.

Pendientes: 

  • Lavado broncoalveolar
  • Parasitológico seriado
  • Resultado coprocultivo
  • Gen Expert materia fecal
  • Informes definitivos de tomografías realizadas

No hay información de la discusión.

No hay información de la evolución.

Tomografía de tórax (Ventana pulmonar-corte axial) DÍA 1

Tomografía de tórax (Ventana pulmonar-corte axial) DÍA 1

Tomografía de tórax (Ventana pulmonar-corte axial) DÍA 1

Tomografía de tórax (Ventana pulmonar-corte axial) DÍA 1