Enfermedad actual: Mujer de 36 años que es derivada a nuestra institución para evaluación y tratamiento de cuadro clínico caracterizado por hipokalemia, alcalosis metabólica e hipertensión de difícil manejo. Se encontraba internada cursando postoperatorio de suprarrenalectomía izquierda en otra institución.
Ingresa a nuestro hospital lúcida, orientada globalmente, con registros hipertensivos leves, ventilando espontáneamente, sin foco neurológico motor ni sensitivo. Se interna para estudio, tratamiento y control evolutivo.
Antecedentes personales:
Ocupación: cuidadora de adultos mayores en instituciones geriátricas.
Enfermedades del adulto:
Hipertensión arterial; refiere registros hipertensivos asintomáticos en el trabajo (PA 170-100 mmHg aprox) desde hace 6 meses. Actualmente en estudio, de difícil control terapéutico.
Hipertiroidismo en estudio.
Obesidad
Antecedentes obstétricos: Gestas 5 Partos 5. Ligadura tubaria hace 9 años.
Internaciones previas:
Diciembre 2025. Internacion en Sanatorio Delta programada para safenectomía y resección de territorio varicoso. Fecha de externación: 18/12/2025
Enero 2026. Internacion en Sanatorio Delta por sobreinfección de hematoma en sitio quirúrgico por lo que realizó ampicilina sulbactam y trimetoprima sulfametoxazol durante 5 días, rotando esquema posteriormente a ciprofloxacina y clindamicina completando así, 8 días de tratamiento antibiótico empírico endovenoso. Evoluciona con edemas en miembros inferiores, registros hipertensivos, hipokalemia y alcalosis metabólica. Fecha de externación: 16/01/2026.
Febrero 2026. Internacion en Sanatorio Delta por hipokalemia severa (2.3 mEq/L) con reposición de potasio endovenoso. Por sospecha de hiperaldosteronismo primario y estudios de aldosterona y renina no concluyentes, se solicitó tomografía de abdomen que evidenció adenoma suprarrenal izquierdo. Servicio de urología realiza suprarrenalectomía el 17/02/2026, pendiente informe anatomía patológica. Además por presentar en RMN abdominal lesiones hepáticas se realiza punción biopsia hepática 24/02, quedando pendiente informe anatomía patológica.
Por falta de cobertura por parte de la obra social es derivada a efector público. Fecha de externación: 26/02/26
Tras resección evoluciona con mejoría de registros hipertensivos. Continua con requerimientos diarios de potasio endovenoso y presenta registros hiperglucémicos con criterio de insulinización.
Proteinuria 24 hs (20/02/26): 0.84 gr/24 hs. Diuresis 3000 ml
Estudios por imágenes
Tomografía de abdomen y pelvis sin contraste oral con contraste EV (08/01/2026): El hígado es de forma, tamaño y situación habituales. Su superficie es lisa, y sus bordes son agudos. Imagen hipovascular aislada de 15mm en segmento V de aspecto inespecífico. La vía biliar intra y extrahepática es de calibre conservado. La vesícula biliar es de forma, tamaño y situación normales, sin imágenes que sugieran la presencia de litiasis. Tener en cuenta que este método puede pasar por alto litiasis colesterinicas. El bazo es de forma, tamaño y situación normales. El páncreas es de características normales. El conducto de Wirsung es de calibre conservado. No se observan alteraciones en proyección de glándulas adrenales. Ambos riñones son de forma, tamaño y situación habituales. Concentran y eliminan adecuadamente la sustancia de contraste sin evidencia de alteraciones calicopiélicas ni ureterales. La aorta, las arterias ilíacas primitivas, internas, externas y femorales, son de calibre y trayecto conservado, permeables. La vena cava inferior y las venas ilíacas primitivas, internas, externas y femorales son de calibre y trayecto conservados, permeables. No se observan adenomegalias intraperitoneales, retroperitoneales, ilíacas ni inguinales. No se observan alteraciones a nivel del tracto gastrointestinal.La vejiga es de paredes lisas, sin presentar efectos de masa endoluminales ni parietales. Utero en AVF, lateralizado a izquierda. No se identifican alteraciones en las estructuras óseas visualizadas.
EcoDoppler cardíaco (09/01/2026): Aurícula izquierda de tamaño conservado Ventrículo izquierdo de tamaño normal. Espesores parietales conservados. Motilidad parietal global y segmentaria: impresiona conservada. Función Ventricular izquierda impresiona conservada. Válvula aórtica:con apertura que impresiona conservada. Válvula mitral con apertura que impresiona conservada. Válvula pulmonar difícil de visualizar al momento del examen. Válvula tricúspide difícil de visualizar al momento del examen. Raíz aórtica difícil de valorar al momento del examen. Cavidades derechas dificil de visualizar al momento del examen, impresionan de tamaño y función conservadas. No presenta derrame pericárdico manifiesto al momento del estudio. Vena cava inferior de tamaño conservado con colapso inspiratorio mayor al 50%. DOPPLER CARDIACO. Flujo Pulmonar: Flujo sistólico transvalvular pulmonar con velocidad y gradientes conservados. Flujo tricuspídeo: Insuficiencia trivial que no permite estimar adecuadamente la PSAP. Flujo mitral: El análisis del flujo diastólico muestra un patrón de relajación normal. Relación E/e' 8.4. Flujo aórtico: No se observa regurgitación significativa al momento del examen. Vel. máx aórtica: 0.98 m/s. CONCLUSIÓN: Función sistólica biventricular conservada.
NOTA: examen técnicamente muy dificultoso debido a que la ventana ultrasónica es subóptima, sumado al contexto del estudio, lo cual disminuye notoriamente la sensibilidad y especificidad del estudio. De acuerdo a la sospecha clínica se sugiere repetir examen en laboratorio de ecocardiografía.
Ecografía renal con Doppler de arterias renales (10/01/2026): Riñón derecho en su localización habitual, de forma conservada. Mide 121 mm de DL. Parénquima renal de 17 mm de espesor y ecogenicidad habitual. No se visualiza dilatación de pelvis renal ni grupos caliciales. No se visualiza dilatación de uréter. No se visualizan imágenes sospechosas de litiasis renal. Riñón izquierdo en su localización habitual, de forma conservada. Mide 133 mm de DL. Parénquima renal de 17 mm de espesor y ecogenicidad habitual. No se visualiza dilatación de pelvis renal ni grupos caliciales. No se visualiza dilatación de uréter. No se visualizan imágenes sospechosas de litiasis renal. Se evaluaron en forma bilateral arterias renales a nivel proximal (ostial), distal (hiliar) y en los segmentos intermedios. Visualización parcial debido a interposición gaseosa. También se evaluaron las arterias parenquimatosas renales. Aorta permeable de calibre conservado. Mide 14 mm de DAP. VPS 43 cm/seg. Arteria renal derecha VPS 47 cm/seg. Arteria renal izquierda VPS 46 cm/seg. Arterias renales sin signos de estenosis significativa. Índice reno-aórtico menor de 3. Velocidades sistólicas máximas menores a 180 cm/seg. A nivel parenquimatoso se observan ondas de flujo de morfología conservada. A nivel de arterias parenquimatosas de riñón derecho se obtiene un IR de 0,65, dentro de parámetros conservados. A nivel de arterias parenquimatosas de riñón izquierdo se obtiene un IR de 0,65, dentro de parámetros conservados. Tiempos de aceleración sistólica conservados. Venas renales permeables, sin signos de trombosis al momento del examen.
Tomografía de tórax sin contraste EV (13/01/2026): La porción visualizada de la glándula tiroides es de características normales. Las estructuras vasculares supraaórticas son de características normales. La aorta ascendente, el cayado y la aorta descendente son de calibre y trayectoria conservados. Las estructuras venosas mediastinales: vena cava superior, vena cava inferior, venas pulmonares superiores e inferiores y venas ácigo-hemiácigos, son de calibre y trayecto conservado. La arteria pulmonar y sus ramas son de calibre y trayectoria conservados. Relación aórtico-pulmonar conservada. El corazón es de tamaño normal. El pericardio es de espesor conservado. El esófago es de calibre y trayecto normales. El mediastino está en posición central. No se observan adenomegalias mediastinales, axilares o hiliares. El árbol traqueobronquial no presenta alteraciones. Atelectasias laminares bibasales. No se observa engrosamiento o derrame pleural. No se observan alteraciones en las estructuras que componen la pared torácica. Diverticulosis colónica parcialmente visualizada, no complicada.
Ecografía Doppler eje espleno portal (14/01/2026): Vena Porta: Mide 15 mm de diámetro a nivel del hilio hepático. Presenta adecuada variación de calibre respiratorio. Flujo de parámetros conservados. Hepatópeto. VPS 21 cm/seg. Arteria Hepática: Flujo de parámetros conservados. IR 0.70 Venas Suprahepáticas: De calibre regular. No se observan estrechamientos. Flujo trifásico de parámetros conservados. Tronco venoso esplenoportal: Flujo hepatópeto, de características conservadas. Arteria Esplénica: De características ecográficas conservadas. Vena Esplénica: Mide 10 mm de diámetro.Flujo permeable, hepatópeto.
Ecografía de tiroides (03/02/2026): Glándula tiroides de ubicación cervical conservada. Lóbulo derecho mide: 50 x 19 x 16 mm (DL x DAP x DT). Parénquima homogéneo. No se observan lesiones nodulares solidas ni quísticas. Lóbulo izquierdo mide: 43 x 19 x 13 mm (DL x DAP x DT). Parénquima homogéneo. No se observan lesiones nodulares solidas ni quísticas. Istmo de 6,9 mm de espesor, de parénquima homogéneo.
Tomografía de craneo con contraste EV (10/02/26): El parénquima cerebral no pone en evidencia alteraciones densitométricas. No se observan procesos expansivos. El sistema ventrículo-cisternal es de forma, tamaño y situación normales. No se observan signos de sangrado intra ni extra axial. Línea media conservada. El cuarto ventrículo es de forma, tamaño y situación habituales. No se identifican alteraciones densitométricas en los hemisferios cerebelosos. La calota craneana es de aspecto conservado. No se observaron refuerzos patológicos tras la administración de contraste EV. Si la clínica lo amerita complementar con RMI
Tomografía de abdomen y pelvis sin contraste oral con contraste EV (12/02/26): El hígado es de forma, tamaño y situación habituales. Su superficie es lisa, y sus bordes son agudos. Imagen hipovascular aislada de 15 mm en segmento V de aspecto inespecífico. Sugiero complementar con RMI. La vía biliar intra y extrahepática es de calibre conservado. La vesícula biliar es de forma, tamaño y situación normales, sin imágenes que sugieran la presencia de litiasis. Tener en cuenta que este método puede pasar por alto litiasis colesterínicas. El bazo es de forma, tamaño y situación normales. El páncreas es de características normales. El conducto de Wirsung es de calibre conservado. Adenoma adrenal izquierdo de 16 mm. Ambos riñones son de forma, tamaño y situación habituales. Concentran y eliminan adecuadamente la sustancia de contraste. Sin evidencia de alteraciones calicopiélicas ni ureterales. La aorta, las arterias ilíacas primitivas, internas, externas y femorales, son de calibre y trayecto conservado, permeables. La vena cava inferior y las venas ilíacas primitivas, internas, externas y femorales son de calibre y trayectoria conservados, permeables. No se observan adenomegalias intraperitoneales, retroperitoneales, ilíacas ni inguinales. No se observan alteraciones a nivel del tracto gastrointestinal. La vejiga es de paredes lisas, sin presentar efectos de masa endoluminales ni parietales. Utero en AVF, lateralizado a izquierda. Pequeña hernia umbilical de contenido graso y escaso líquido intrasacro. No se identifican alteraciones en las estructuras óseas visualizadas.
RMI abdomen y pelvis con contraste EV (14/02/26): En las bases pulmonares se visualizan atelectasias laminares bibalsales. No se identifica derrame pleural. El hígado es de forma, tamaño y situación normal. La superficie es lisa, los bordes son agudos. Se observan múltiples lesiones sólidas de distribución difusa, levemente hiperintensas en T2, con restricción en difusión y realce homogéneo tras la administración de contraste EV, la de mayor tamaño de 15 mm en segmento VII. Sugiero conocimiento histológico. La vía biliar intra y extrahepática es de calibre conservado. La vesícula biliar es de forma y situación habitual, sus paredes son finas y no presenta imágenes hipointensas en su interior, que sugieran la presencia de litiasis. El bazo es de forma, tamaño y situación normal, sin efectos de masa focales. El páncreas es de forma, tamaño y situación normal, sin efectos de masa. El Wirsung es de calibre conservado. Glándulas adrenales de forma, tamaño y situación normal, sin efectos de masa. Ambos riñones son de forma, tamaño y situación normal, con adecuada diferenciación córtico subcortical. No se observan alteraciones a nivel de la vía excretora. No se observan adenomegalias retroperitoneales ni intraperitoneales. La aorta abdominal, las arterias iliacas primițivas, internas, externas y femorales son de trayecto y calibre normal La vena cava inferior, las venas ilíacas primitivas, internas, externas y femorales son de trayecto y calibre normal. No impresionan alteraciones a nivel del tracto gastrointestinal. La vejiga es de paredes finas, normalmente distensibles, sin evidencia de lesiones endoluminales ni parietales. Mioma transmural en hoja anterior de útero que mide 55 x 47 mm sin signos de complicaciones. Imagen ovalada de contenido líquido que mide 65 x 52 mm en el espesor del tejido celular subcutáneo de región antero-superior de muslo derecho, por delante de músculo sartorio, que no presenta realce tras la administración de contraste EV.
RMI de cráneo con contraste EV (21/02/26): Las cavidades ventriculares presentan tamaño y morfología normal. Las estructuras la línea media se hallan en su topografía habitual. A nivel de la fosa posterior el cuarto ventrículo se encuentra en línea media. Bulbo, protuberancia y mesencéfalo sin alteraciones. Relación sustancia gris blanca respetada. No se observan efectos expansivos. El examen de difusión no muestra alteraciones. El efecto FLAIR no muestra alteraciones. La secuencia SWI no muestra alteraciones. No se visualizan alteraciones en proyección, de la región selar, el quiasma óptico y senos cavernosos. No se observan realces patológicos tras la administración de gadolinio.
Examen físico:
Impresión general: Buen estado general.
Signos vitales: TA 160/100 mmHg, FC 68 lpm, FR 16 rpm, T° 36.3 ºC, SatO2 98% (0.21)
Peso: 85
Altura: 165
IMC: 30.5
Piel: palidez cutánea generalizada
Cabeza: Ojos: conjuntivas rosadas, escleras pálidas. Movimientos oculares no dolorosos. Fosas nasales: permeables sin secreciones ni epistaxis. Puntos sinusales negativos. Cavidad bucal: mucosas húmedas. Muguet oral.
Cuello: cilíndrico, simétrico, no se palpan adenopatías ni tiroides. Sin ingurgitación yugular. Pulsos carotídeos simétricos, sin soplos. Acantosis nigricans en región posterior del cuello. Giba dorsal.
Tronco: diámetro anteroposterior normal, sin cicatrices. Columna: sonora, indolora. Puño-percusión: negativa bilateral. Herida de drenaje quirúrgico con secreción serohemática, sin signos de flogosis.
Aparato Respiratorio: respiración costo abdominal, sin utilización de músculos accesorios, reclutamiento abdominal, tiraje intercostal/supraclavicular, ni aleteo nasal. Expansión de bases y vértices conservada. Excursión de bases conservadas. Sonoridad conservada. Murmullo vesicular conservado, sin ruidos agregados.
Aparato Cardiovascular: ritmo cardíaco regular, ruidos cardíacos normofonéticos, sin soplos ni R3/R4.
Abdomen:abdomen globuloso a expensas de panículo adiposo, sin estigmas de circulación colateral. Hematomas difusos. Múltiples estrías blanquecinas. Herida quirúrgica en hipocondrio derecho sin signos de flogosis. Blando, depresible e indoloro. Sin visceromegalias. Timpanismo conservado. Traube libre. Ruidos hidroaéreos conservados.
Neurológico: Vigil, orientado en tiempo, espacio y persona. Lenguaje: nomina y repite. Comprende: comandos y órdenes complejas. Pupilas: isocóricas reactivas y simétricas. Movimientos oculares externos: completos. Pares craneales: impresionan conservados. Reflejos osteotendinosos: positivos en los miembros evaluados. Sensibilidad: táctil superficial conservada. Coordinación: sin alteraciones. Respuesta plantar: indiferente bilateral. Hoffman: negativo bilateral. Marcha: conservada. Sin signos meníngeos.
Extremidades: Superiores: Tono, trofismo y movilidad conservados. Pulsos conservados. Sin edema ni adenopatías. Inferiores: Tono, trofismo y movilidad conservados. Homans y Ollows negativos. Sin adenopatías. Edema Godet ++++ simétrico, infrapatelar bilateral. Estrías blanquecinas en ambos miembros inferiores. Hematomas difusos en 4 miembros.
Región Perineal y Genital: No se evalúa.
Exámenes complementarios actuales:
DIA 1
13 HS
DIA 1
18 HS
DIA 2
00 HS
DIA 2
7 HS
DIA 3
8 HS
Hemoglobina (g/dL)
8.5
-
-
8.5
8.6
Hematocrito (%)
25
-
-
25
26
VCM (fl)
93.3
-
-
94.8
94.2
HCM (pg)
31.7
-
-
31.8
31.3
Glóbulos blancos (/mm)
8710
-
-
8550
8030
Neutrófilos (%)
83
-
-
-
84
Eosinófilos (%)
0
-
-
-
0
Basófilos (%)
0
-
-
-
0
Linfocitos (%)
8
-
-
-
7
Monocitos (%)
4
-
-
-
4
Plaquetas (/mm)
221000
-
-
223000
220000
Glicemia (mg/dl)
133
-
-
137
188
Urea (mg/dl)
29
-
-
18
27
Creatinina (mg/dl)
0.56
-
-
0.47
0.50
Sodio (mEq/l)
145
148
142
147
143
Potasio (mEq/I)
2.15
2.26
2.62
2.66
1.90
Cloro (mEq/l)
96
99
96
101
95
Calcio (mg/dL)
7.8
-
-
7.2
-
Fósforo (mg/dL)
2.3
-
-
2.6
-
Magnesio (mg/dL)
1.6
-
-
1.5
-
pH
7.46
7.48
-
7.43
7.39
pCO2 (mmHg)
54
59.9
-
65.8
67.3
pO2 (mmHg)
33.7
28.7
-
19.6
34.4
Exceso de base (mmol/L)
12.6
17.9
-
16.5
11.7
HCO3 (mmol/L)
37.8
43.7
-
42.9
39.9
SatO2 (%)
62.2
43.1
-
24.5
68
Ácido láctico (mmol/L)
3.77
2.19
-
3.28
3.17
Bilirrubina total (mg/dL)
0.38
-
-
0.43
-
TGO (UI/L)
21
-
-
30
-
TGP (UI/L)
41
-
-
53
-
FAL (UI/L)
62
-
-
60
-
GGT (UI/L)
68
-
-
84
-
Colinesterasa sérica (UI/L)
-
-
-
-
-
Amilasa (UI/L)
-
-
-
-
-
Proteínas totales (g/dL)
4.8
-
-
-
-
Albúmina (g/dL)
3.4
-
-
-
-
CPK (UI/L)
-
-
-
-
-
LDH (UI/L)
-
-
-
-
-
VES (mm/1° hora)
10
-
-
-
-
PCR (mg/L)
1
-
-
-
-
TP (seg)
12.8
-
-
-
-
KPTT (seg)
27
-
-
-
-
Electrocardiograma 12 derivaciones (DIA 1): ritmo regular, sinusal FC 75 lpm, eje cardíaco conservado, intervalo PR 0.14 seg, segmento QRS 0.08 seg. Ondas T negativas en DII, DIII y aplanadas en V3, V4, V5, V6. Índice de Sokolow Lyon 37 mm
Radiografía de tórax frente (DIA 1): centrada, índice cardiotorácico aumentado de tamaño, senos costofrénicos libres.
Orina completa (DÍA 1): color amarilo claro, aspecto límpido, densidad 1008, pH 8, proteinuria 0.26 (g/l) , glucosuria no detectable, cetonuria no detectable, pigmentos biliares no detectable, urobilinas normal, hemoglobinuria 2+ , 5-6 hematíes por campo de 400x, 12-15 leucocitos x campo de 400x, regular cantidad de piocitos , 5-6 células epiteliales por campo de 400x , cilindros no se observan. Observaciones: Gérmenes
Índices urinarios (DIA 1:
Sodio (meq/l)
100
Potasio (meq/l)
35.23
Cloro (meq/l)
110
Creatinina (mg/dl)
17.38
Urea (mg/dl)
374
Proteinuria (g/l)
0.26
Índice proteinuria/creatininuria
1496
Electrocardiograma 12 derivaciones (DIA 2): ritmo regular, sinusal FC 75 lpm, eje cardíaco conservado, intervalo PR 0.14 seg, segmento QRS 0.08 seg. Onda T negativas en DII, DIII y aplanadas en V4, V5 y V6. Índice de Sokolow Lyon 37 mm.
Evolución: Mujer de 34 años con antecedentes de múltiples internaciones recientes, quien cursaba internación en otra institución por postoperatorio de adrenalectomía izquierda realizada el 17/02/2026 ante hallazgo de adenoma suprarrenal izquierdo de 16 mm en contexto de hipokalemia severa, alcalosis metabólica y registros hipertensivos con sospecha de hiperaldosteronismo primario. Durante estudios prequirúrgicos se identificaron además múltiples lesiones hepáticas en resonancia magnética abdominal, por lo que se realizó biopsia hepática el 24/02/2026.
En su evolución previa, desde diciembre de 2025, la paciente presentó registros hipertensivos de difícil manejo, persistentes; asociados a hipokalemia severa, alcalosis metabólica, edemas en miembros inferiores y estrías blanquecinas en abdomen y ambos miembros inferiores. La tomografía abdominal constató adenoma adrenal izquierdo, motivo por el cual se realizó suprarrenalectomía.
Tras la resección quirúrgica presentó mejoría parcial de los registros tensionales; sin embargo, persiste con hipokalemia severa con requerimientos diarios de reposición endovenosa de potasio, asociando alcalosis metabólica.
Desarrolló hiperglucemias persistentes; hemoglobina glicosilada 6.5% e índice HOMA 4.8 compatibles con insulinorresistencia que motivó a la insulinización durante internacion.
Por falta de cobertura es derivada a nuestra institución el 26/02/2026.
Actualmente la paciente permanece estable hemodinámicamente, con reposiciones diarias de potasio endovenoso y aportes vía oral; corrección concomitante de magnesio, control estricto de presión arterial bajo tratamiento farmacológico y seguimiento evolutivo de parámetros ácido-base e ionograma.
Pendientes:
Orina 24 hs con índices urinarios y medición de cortisol
Laboratorio con ACTH, cortisol; TSH, T4L T3; prolactina; GH y IGF 1 FSH, LH; estradiol, 17- hidroxi progesterona, testosterona libre.
Serologías ITS: VIH, VDRL, VHB, VHC
Laboratorios diarios con ionograma y estado ácido base
Informes anatomía patológica
No hay información de la discusión.
No hay información de la evolución.
RMN de cráneo con contraste endovenoso (21/02/26) Corte sagital en secuencia T1: sin alteraciones en región selar.
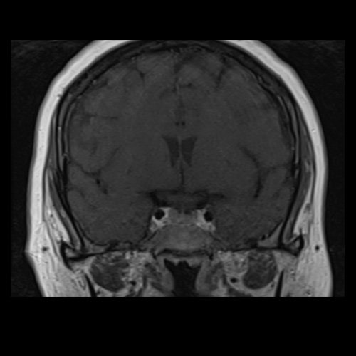
RMN de cráneo con contraste endovenoso (21/02/26) Corte coronal en secuencia T1: sin alteraciones en región selar.
Radiografia de torax (frente) (al ingreso, 26/02/2026)
TC de abdomen y pelvis con contraste endovenoso (12/02/2026) Corte axial: hígado de forma, tamaño y situación habituales, con superficie lisa y bordes agudos. Imagen hipovascular aislada de 15 mm en segmento V de aspecto inespecífico.
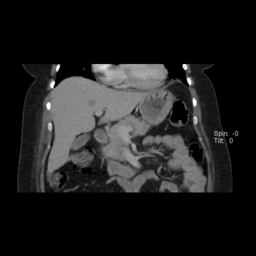
TC de abdomen y pelvis con contraste endovenoso (12/02/2026) Corte coronal: hígado de forma, tamaño y situación habituales, con superficie lisa y bordes agudos. Imagen hipovascular aislada de 15 mm en segmento V de aspecto inespecífico.
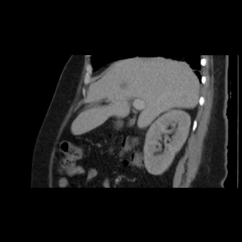
TC de abdomen y pelvis con contraste endovenoso (12/02/2026) Corte sagital: hígado de forma, tamaño y situación habituales, con superficie lisa y bordes agudos. Imagen hipovascular aislada de 15 mm en segmento V de aspecto inespecífico.
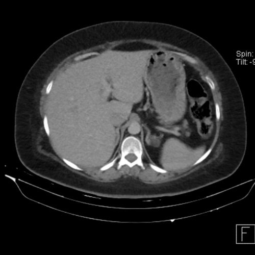
TC de abdomen y pelvis con contraste endovenoso (12/02/2026) Corte axial: adenoma adrenal izquierdo de 16 mm.
TC de abdomen y pelvis con contraste endovenoso (12/02/2026) Corte axial: adenoma adrenal izquierdo de 16 mm.
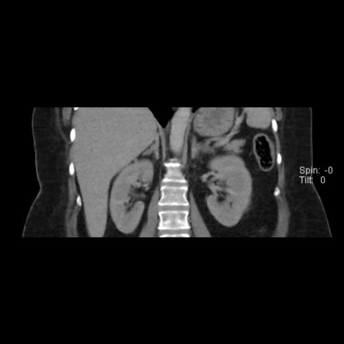
TC de abdomen y pelvis con contraste endovenoso (12/02/2026) Corte coronal: adenoma adrenal izquierdo de 16 mm.
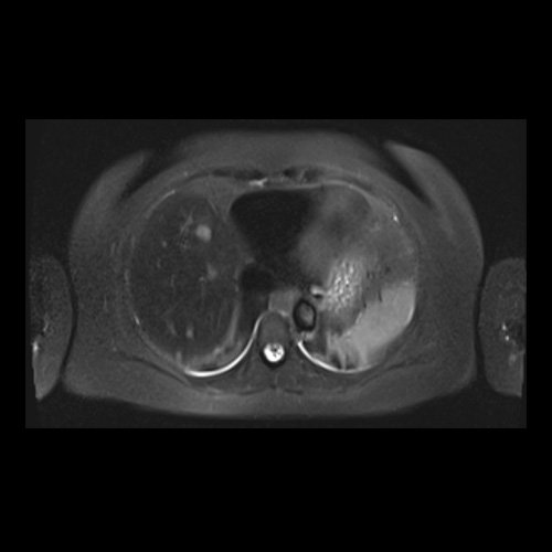
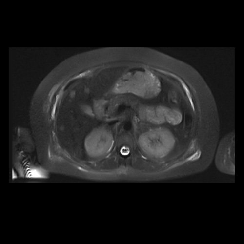
RMN de abdomen con contraste endovenoso (14/02/26) Corte axial (T2): múltiples lesiones sólidas de distribución difusa, levemente hiperintensas.
RMN de abdomen con contraste endovenoso (14/02/26) Corte axial (T2): múltiples lesiones sólidas de distribución difusa, levemente hiperintensas.
RMN de abdomen con contraste endovenoso (14/02/26) Corte axial (T2): múltiples lesiones sólidas de distribución difusa, levemente hiperintensas.
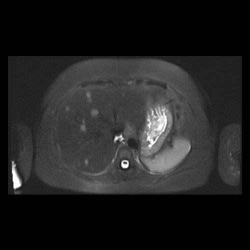
RMN de abdomen con contraste endovenoso (14/02/26) Corte coronal (T2): adenoma suprarrenal izquierdo; lesión hepática redondeada hiperintensa redondeada en segmento VII.
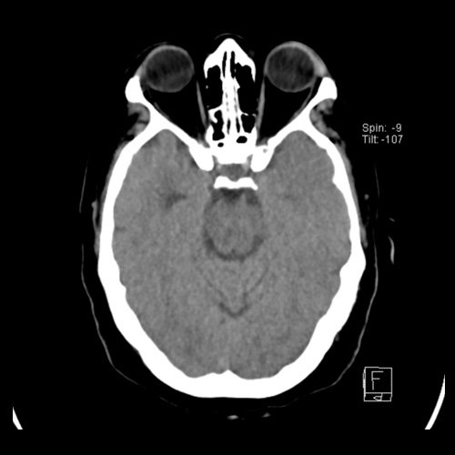
Tomografia de craneo con contraste endovenoso (10/02/2026) Corte axial: sin alteraciones a nivel selar.