« Volver atrás

Isquemia crítica en miembro inferior: una urgencia vascular con interrogantes diagnósticos

Imagen Principal
Presenta:
Didier Paula - D’Angelo Josefina
Sin foto
Discusión a cargo:
Bello Valentina - Bértola Diego
Sin foto

Enfermedad actual: 

Varón de 58 años consulta inicialmente en el Hospital Escuela Eva Perón por cuadro de 3 horas de evolución caracterizado por dolor intenso en miembro inferior izquierdo, asociado a impotencia funcional e hipoestesia, constatándose miembro cianótico, con disminución de temperatura y pulsos, se realizó angioTAC de miembros inferiores visualizandose hallazgos sugestivos de isquemia arterial aguda por lo que es derivado a nuestro efector para evaluación por Cirugía Vascular. 

Al ingreso, el equipo de Cirugía Vascular realiza trombectomía e ingresa a Unidad de Terapia Intensiva para control postoperatorio. En las 24 horas posteriores evoluciona con aumento del diámetro de dicho miembro y coloración violácea, por lo que se repite angiotomografía de miembros inferiores, evidenciando defecto de relleno de la vena ilíaca común izquierda en relación a trombosis venosa profunda, con edema de tejidos circundantes. Por este motivo, el Servicio de Hemodinamia coloca filtro de vena cava inferior y realiza tromboaspiración percutánea combinada con angioplastia con balón con restablecimiento parcial de flujo. Inicia tratamiento con enoxaparina dosis terapéutica, aspirina y cilostazol. 

Por evolucionar hemodinámicamente estable, con mejoría en el control del dolor posterior a procedimiento, pulsos y movilidad de miembro inferior izquierdo conservados, por lo que continua internacion en sala general.


Antecedentes personales

  • Procedencia: Provincia de Chaco
  • Ocupación: albañil
  • Enfermedades del adulto: hipertensión arterial diagnosticada en 2016.
  • Internaciones previas: internacion por neumonía aguda de la comunidad sin más datos.
  • Antecedentes Traumáticos: niega
  • Antecedentes Quirúrgicos: colecistectomía
  • Antecedentes Alérgicos: niega alergias medicamentosas
  • Medicación habitual: enalapril 10 mg/día
  • Vacunación: completo.
  • Hábitos tóxicos: ex tabaquista de 20 paquetes años abandonó el hábito hace 20 años.


Antecedentes familiares:

Padre: fallecido a los 67 años a causa de un accidente cerebro vascular hemorrágico sin más datos

Madre: fallecida a los 38 años a causa de cáncer de mama

Hermanas/os: hermano de 67 años con enfermedad aterosclerótica.

Hijos/as: niega


Examen físico:

  • Impresión general: Buen estado general. 
  • Signos vitales: TA 140/90  mmHg, FC 77 lpm, FR 14 rpm, T°37 ºC, SatO2 98% (0.21) 
  • Piel: sin alteraciones pigmentarias, sin cicatrices.
  • Cabeza: Ojos: conjuntivas rosadas, escleras blancas. Movimientos oculares no dolorosos. Fosas nasales: permeables sin secreciones ni epistaxis. Puntos sinusales negativos. Cavidad bucal: mucosas húmedas. Lengua central sin lesiones.
  • Cuello: cilíndrico, simétrico, no se palpan adenopatías ni tiroides. Sin ingurgitación yugular. Pulsos carotídeos simétricos, sin soplos.
  • Tronco: diámetro anteroposterior normal, sin cicatrices. Mamas: sin nódulos ni depresiones, ni secreción por pezón. Columna: sonora, indolora. Puño-percusión: negativa bilateral. 
  • Aparato Respiratorio: respiración costo abdominal, sin utilización de músculos accesorios, reclutamiento abdominal, tiraje intercostal/supraclavicular, ni aleteo nasal. Expansión de bases y vértices conservada. Excursión de bases conservadas. Sonoridad conservada. Murmullo vesicular conservado, sin ruidos agregados.
  • Aparato Cardiovascular: ritmo cardíaco regular, ruidos cardíacos normofonéticos, sin soplos ni R3/R4.
  • Abdomen: abdomen globuloso, sin estigmas de circulación colateral, cicatriz correspondiente a antecedente quirúrgico. Blando, depresible e indoloro. Sin visceromegalias. Timpanismo conservado. Traube libre Ruidos hidroaéreos conservados. 
  • Neurológico: Vigil, orientado en tiempo, espacio y persona. Lenguaje: nomina y repite. Comprende: comandos y órdenes complejas. Pupilas: isocóricas reactivas y simétricas. Movimientos oculares externos: completos. Pares craneales: impresionan conservados. Reflejos osteotendinosos: positivos en los miembros evaluados. Sensibilidad: táctil superficial conservada. Coordinación: sin alteraciones. Respuesta plantar: indiferente bilateral. Hoffman: negativo bilateral. Marcha: conservada. Sin signos meníngeos.
  • Extremidades: Superiores: Tono, trofismo y movilidad conservados. Pulsos conservados. Sin edema ni adenopatías. Inferiores: Tono, trofismo y movilidad conservados. Homans y Ollows negativos. Cicatriz de herida quirúrgica en región inguinal izquierda. Miembro inferior izquierdo con leve edema hasta raíz de muslo con diferencia de diámetro de 4 cm respecto al miembro contrario. Hematoma en región glútea y lumbar izquierda levemente indurado sin signos de flogosis.
  • Región Perineal y genital: sin lesiones perianales, esfínter tónico, ampolla rectal vacía. Testículos en bolsas sin lesiones. Escroto aumentado de tamaño, asociado a hematoma, indoloros. Pene sin lesiones ni secreción por meato

Exámenes complementarios previos:

  • AngioTAC de miembros inferiores (15/02/26): Miembros inferior izquierdo: aumentado de tamaño. Ausencia de opacificación arterial a nivel de la arteria femoral superficial, sin evidenciarse repleción a nivel distal. Sin colaterales evidentes. Arteria femoral profunda permeable, con discreto grado de opacificación con respecto al miembro contralateral. Ausencia de opacificación de la arteria poplítea , tronco tibio-peroneo, tibial anterior y peronea


Exámenes Complementarios: 


 

Laboratorio:Día 0Día 1Día 4Día 12Día 16
Hemoglobina (g/dL)15108.77.98.4
Hematocrito (%)4430252326
VCM (fl)9193.79193.295.5
HCM (pg)3131.53231.631.5
Glóbulos blancos (/mm)11640130709970788010470
Neutrófilos (%)-857077-
Eosinófilos (%)-022-
Basófilos (%)-000-
Linfocitos (%)-91814-
Monocitos (%)-586-
Plaquetas (/mm)151.000100.000250.000195.000269.000
Glicemia (mg/dl)1221519088101
Urea (mg/dl)2749313436
Creatinina (mg/dl)0.781.100.700.740.93
Sodio (mEq/l)134133133131136
Potasio (mEq/I)4.473.783.533.683.73
Cloro (mEq/l)9699999599
Calcio (mg/dL)9.2----
Fósforo (mg/dL)3.5----
Magnesio (mg/dL)1.9----
pH7.287.33-7.35-
pCO2 (mmHg)5441-49.2-
pO2 (mmHg)21.338.8-46-
Exceso de base (mmol/L)-2.4-4-0.8-
HCO3 (mmol/L)25.321.5-27.1-
SatO2 (%)31.972.7-75.9-
Ácido láctico (mmol/L)3.465.39-2.37-
Bilirrubina total (mg/dL)0.830.530.711.08-
TGO (UI/L)3454-47-
TGP (UI/L)4180-67-
FAL (UI/L)10367-207-
GGT (UI/L)50205-402-
Colinesterasa sérica (UI/L)89----
CPK (UI/L)89102-38-
LDH (UI/L)171185-259-
VES (mm/1° hora)8----
PCR (mg/L)0.6----
TP (seg)12.6--16.6-
KPTT (seg)26--37-
  • Electrocardiograma 12 derivaciones (Día 0): ritmo regular y sinusal, FC 85 lpm, eje cardíaco conservado. Sin signos de isquemia aguda ni sobrecarga.
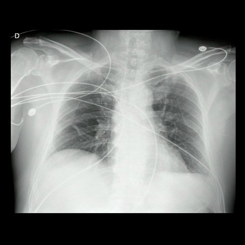
  • Radiografía de tórax frente (Día 0): rotada, índice cardiotorácico conservado, senos costofrénicos libres, sin signos de consolidación.
  • AngioTAC de miembros inferiores (Día 0): Ateromatosis parietal calcificada parcheada en todo el territorio aorto-ilíaco-femoral bilateral. LADO DERECHO: Arteria ilíaca interna: de calibre y trayecto conservado, permeable. Arterias ilíaca externa y femoral común: de calibre y trayecto conservados, permeables. Arterias circunfleja ilíaca superficial y epigástrica superficial: de calibre y trayecto conservados, permeables. Arteria femoral superficial: de calibre y trayecto conservado, permeable. Arteria femoral profunda: de calibre y trayecto conservado, permeable. Arterias circunflejas femoral medial y lateral: de calibre y trayecto conservados, permeables. Arteria poplítea: de calibre y trayecto conservado, permeable. Arteria tibial anterior: de calibre y trayecto conservado, permeable. Arteria tibial posterior: de calibre y trayecto conservado, permeable. Cambios artrodegenerativos coxo-femorales y tricompartimentales en la rodilla. Signos de entesopatía cuadricipital distal. No se observan alteraciones a nivel de los grupos musculares visualizados. La disposición del tejido graso es normal. LADO IZQUIERDO: En fase angiográfica se observa menor calibre y opacificación de las arterias femoral superficial y profunda, poplítea y de sus ramas musculares en muslo y pierna en comparación con el miembro contralateral, con opacificación arterial preservada. En fase venosa se evidencia mayor la densidad endovascular de las mismas hasta el tercio distal de la pierna, donde se logran identificar a las arterias peronea, tibial anterior y tibial posterior. Se evidencia un defecto de relleno de la vena ilíaca común izquierda, en su nacimiento, en relación a trombosis venosa profunda. No se identifica compromiso de la porción visualizada de la vena cava inferior ni del sistema venoso ilíaco contralateral. Se visualiza aumento del tamaño de todos los grupos musculares del muslo izquierdo con respecto al contralateral y retardo de la concentración de contraste, asociado a edema de los tejidos blandos superficiales. Reticulación de la grasa de la región inguinal. Cambios artrodegenerativos coxo-femorales y tricompartimentales en la rodilla. Signos de entesopatía cuadricipital distal. No se observan alteraciones a nivel del fémur ni de las porciones visualizadas de la tibia y el peroné. 
  • AngioTAC de miembros inferiores (Día 2): Ateromatosis parietal calcificada parcheada en todo el territorio aorto-ilíaco-femoral bilateral. LADO DERECHO: Arteria ilíaca interna: de calibre y trayecto conservado, permeable. Arterias ilíaca externa y femoral común: de calibre y trayecto conservados, permeables. Arterias circunfleja ilíaca superficial y epigástrica superficial: de calibre y trayecto conservados, permeables. Arteria femoral superficial: de calibre y trayecto conservado, permeable. Arteria femoral profunda: de calibre y trayecto conservado, permeable. Arterias circunflejas femoral medial y lateral: de calibre y trayecto conservados, permeables. Arteria poplítea: de calibre y trayecto conservado, permeable. Arteria tibial anterior: de calibre y trayecto conservado, permeable. Arteria tibial posterior: de calibre y trayecto conservado, permeable. Vena ilíaca primitiva: 13 mm, vena ilíaca externa 11 mm, vena ilíaca interna 7 mm. LADO IZQUIERDO: En esta ocasión, en fase angiográfica se observa de calibre y opacificación conservada de las arterias femoral superficial y profunda, poplítea y de sus ramas musculares en muslo y pierna. En fase venosa se evidencia un defecto de relleno endoluminal de la vena primitiva izquierda que impresiona extenderse actualmente a la vena iliaca externa, a la vena femoral superficial y poplítea, hasta nivel del hueco homonimo, las cuales se visualizan aumentadas de calibre con respecto a sus contralaterales, en relación a trombosis venosa profunda. Se sugiere cotejar con ecodoppler de miembros inferiores. No se identifica compromiso de la porción visualizada de la vena cava inferior ni del sistema venoso ilíaco contralateral. Se visualiza dispositivo vascular en VCI (filtro VCI), infrayacente a las venas renales. Presenta aumento del diámetro del muslo izquierdo con respecto a su contralateral, asociado a edema de los tejidos blandos superficiales. Reticulación de la grasa de la región inguinal a predominio izquierdo con algunas burbujas aéreas. Se observa inmediatamente infrayacente a los antes mencionado, un área hiperdensa que realza en fase venosa, con centro hipodenso, que mide 2.2 cm x 1.4 cm, ya visualizado en tomografía previa. Cambios artrodegenerativos coxo-femorales y tricompartimentales en la rodilla. Signos de entesopatía cuadricipital distal. No se observan alteraciones a nivel del fémur ni de las porciones visualizadas de la tibia y el peroné. Arteria ilíaca interna: de calibre y trayecto conservado, permeable. Arterias ilíaca externa y femoral común: de calibre y trayecto conservados, permeables. Arterias circunfleja ilíaca superficial y epigástrica superficial: de calibre y trayecto conservados, permeables. Arteria femoral superficial: de calibre y trayecto conservado, permeable. Arteria femoral profunda: de calibre y trayecto conservado, permeable. Arterias circunflejas femoral medial y lateral: de calibre y trayecto conservados, permeables. Arteria poplítea, tibial anterior y tibial posterior: de calibre disminuido con respecto a su contralateral, permeables. Vena ilíaca primitiva: 14 mm, vena ilíaca externa 17 mm, vena ilíaca interna 9 mm. Calcificaciones en conducto inguinal bilateral. Hidrocele bilateral. 
  • Ecografía reno vésico prostática (Día 9): RIÑÓN DERECHO: situación, tamaño y morfología normal. Parénquima homogéneo. ECM respetado. Vía excretora de calibre conservado.  No se observan imágenes de litiasis de mediano y gran tamaño. Presenta aislados quistes simples, midiendo el mayor 8 mm. RIÑÓN IZQUIERDO: situación, tamaño y morfología normal. Parénquima homogéneo. ECM respetado. Vía excretora de calibre conservado.  No se observan imágenes de litiasis de mediano y gran tamaño. Presenta aislados quistes simples, midiendo el mayor 13 mm. VEJIGA: parcialmente replecionada, paredes engrosadas.  PRÓSTATA: parénquima heterogéneo, aumentada de tamaño y con calcificaciones en su interior, impronta sobre el piso vesical.  Mide: 74 mm x 63 mm x 51 mm. Volumen: 125 cc.
  • PSA (Día 10): 7.60 ng/ml (VN 0.03-4)
  • Ecocardiograma (Día 10): Ventrículo izquierdo de dimensiones diastólicas conservadas. Espesores normales. Motilidad parietal homogénea y normal Función sistólica ventricular izquierda normal. Aurícula izquierda levemente dilatada. Raíz de aorta de tamaño normal. Estructuras valvulares sin alteraciones. Cavidades derechas normales. Pericardio sin derrame. VCI normal. DOPPLER: Flujo Mitral: Laminar. Retardo en la relajación del VI. Sin insuficiencia valvular. Flujo Aórtico: Laminar. Sin insuficiencia valvular. Flujo Tricuspídeo: Laminar. Sin insuficiencia valvular. Flujo Pulmonar: Laminar. Sin insuficiencia valvular CONCLUSIÓN: LEVE DILATACIÓN DE AURÍCULA IZQUIERDA. FEY 60%.
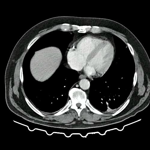
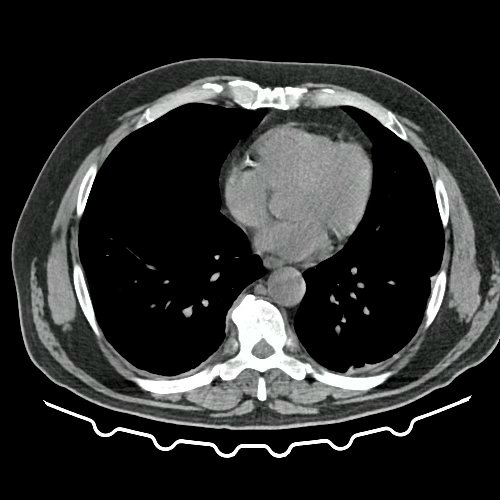
  • TAC de tórax con contraste EV (Día 10): La porción visualizada de la glándula tiroides es de características normales. Las estructuras vasculares supraaórticas son de características normales, permeables. La aorta ascendente, el cayado y la aorta descendente son de calibre y trayecto conservados, permeables. Las estructuras venosas mediastinales: vena cava superior, vena cava inferior, venas pulmonares superiores e inferiores y venas ácigo-hemiácigos, son de calibre y trayecto conservado, permeables. Vena ácigos prominente. La arteria pulmonar y sus ramas son de calibre y trayecto conservados, permeables. Relación aórtico-pulmonar conservada. El corazón es de tamaño normal. El pericardio es de espesor conservado. El esófago es de calibre y trayecto normales. El mediastino está en posición central. No se observan adenomegalias mediastinales, axilares o hiliares. El árbol traqueobronquial no presenta alteraciones. Aisladas atelectasias laminares en ambos lóbulos inferiores y en segmento lingular inferior. No se observa engrosamiento o derrame pleural. Marcados cambios osteoartrósicos de la columna dorsal.
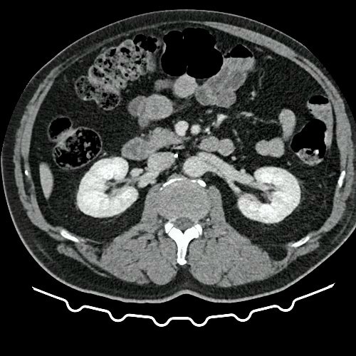
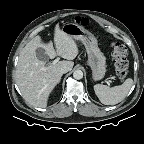
  • TAC de abdomen y pelvis con contraste EV (Día 10): El hígado es de forma, tamaño y situación habituales. Su superficie es lisa, y sus bordes son agudos. No presenta alteraciones densitométricas ni efectos de masa focales. La vía biliar intra y extrahepática es de calibre conservado. La vesícula biliar es de forma, tamaño y situación normales, sin imágenes que sugieran la presencia de litiasis. Tener en cuenta que este método puede pasar por alto litiasis colesterínicas. El bazo es de forma, tamaño y situación normales. El eje esplenoportal es de calibre y trayecto conservado. El páncreas es de características normales. El conducto de Wirsung es de calibre conservado. Las glándulas adrenales son normales. Ambos riñones son de forma, tamaño y situación habituales. Sin evidencia de alteraciones calicopiélicas ni ureterales. Quistes simples corticales en riñón izquierdo, el mayor de ellos en polo superior, que mide 16 mm. Discreta reticulación de la grasa perirrenal bilateral. La aorta, las arterias ilíacas primitivas, internas, externas y femorales, son de calibre y trayecto conservado. La vena cava inferior y las venas ilíacas primitivas, internas, externas y femorales son de calibre y trayecto conservados. Filtro de vena cava inferior infrayacente a venas renales. No se observan adenomegalias intraperitoneales, retroperitoneales, ilíacas ni inguinales. No se observan alteraciones a nivel del tracto gastrointestinal. Abundante contenido de materia fecal en el colon. Vejiga con escasa repleción. La próstata y las vesículas seminales son de características normales. No se observa líquido libre ni neumoperitoneo Presenta aumento del diámetro de la raíz del muslo izquierdo con respecto a su contralateral, asociado a edema de los tejidos blandos superficiales. Reticulación de los tejidos blandos de la región inguinal izquierda, de mayor jerarquía que en estudio anterior, con tendencia a coleccionar. Además se observan ganglios locorregionales aumentados en número y tamaño sin alcanzar rango megálico. Se observa inmediatamente infrayacente a los antes mencionado, un área hiperdensa que realza en fase venosa, con centro hipodenso, que mide 2.2 cm x 1.4 cm, ya visualizado en tomografía previa, sin cambios. Calcificaciones en conducto inguinal bilateral. Hidrocele bilateral. Marcados cambios artrodegenerativos de la columna lumbosacra y coxo-femorales. 
  • Eco Doppler arterial de miembro inferior izquierdo (Día 10):  Arteria femoral común: Vaso permeable con presencia de ateroma plano, de densidad fibro-lipídica. Flujo de morfología y velocidades conservadas. Arteria femoral profunda, femoral superficial y poplítea: vasos permeables, de paredes lisas y leve aumento de la refringencia. Flujo anterógrado, laminar con morfologías y velocidades conservadas. Arteria tibial anterior, tibial posterior y pedia: Aumento del grosor y ecogenicidad de las paredes arteriales. Flujo anterógrado, laminar con morfologías y velocidades conservadas. Estudio dificultoso por intervención a nivel inguinal. Al momento del estudio no se observan signos de estenosis hemodinámicamente significativa en los segmentos explorados por esta modalidad diagnóstica. Flujos conservados en todos los vasos evaluados.
  • PSA libre/ PSA total (Día 15): 12.5% (VN -15)
  • Ecografía testicular (Día 15): TESTÍCULO DERECHO: de forma y tamaño normal, con contornos regulares. El parénquima es homogéneo y no hay evidencia de colecciones líquidas ni de masas ocupantes de espacio. Hidrocele moderado. Las túnicas testiculares son de espesor normal. Epidídimo de tamaño y ecoestructura conservada. TESTÍCULO IZQUIERDO: De forma y tamaño normal, con contornos regulares. El parénquima es homogéneo y no hay evidencia de colecciones líquidas ni de masas ocupantes de espacio. Hidrocele leve. Las túnicas testiculares son de espesor normal. Epidídimo de tamaño y ecoestructura conservada. 
  • Ecografía de partes blandas de región inguinal izquierda (Día 15): Se constata TVP femoral, la misma no es compresible. Correlacionar con estudios anteriores y/o complementarios. Se explora zona de interés clínico, en herida quirúrgica, se observa colección, de contenido heterogéneo, márgenes anfractuosos, de 18 mm x 28 mm aproximadamente, a 5 mm de la superficie cutánea, con adenopatías regionales de rango megálico.
  • Eco doppler venoso de miembros inferiores (Día 17): Sistema venoso profundo: Vena iliaca externa: se observa stent metálico permeable. Por doppler se registran flujos sincrónicos con la respiración. Vel pico de influjo 38.7 cm/s- vel. Eflujo 16 cm/s. A la compresión influjo 59.4 cm/s. Venas femoral, femoral profunda y poplítea, competentes, comprensibles parcialmente. Por doppler se registran flujos sincrónicos con la respiración. Se observa material hipoecoico en su interior, compatible con trombosis en evolución.  Dilatación de las venas del sistema profundo y muscular de la pantorrilla, compresibles. Unión safena femoral sin signos de insuficiencia. Vena safena magna competente, compresible. Unión safeno poplítea sin signos de insuficiencia. Vena safena parva competente, compresible.
  • Eco doppler arterial de miembro inferior derecho (Día 17): Arteria femoral común: Vaso permeable. Flujo ligeramente turbulento, trifásico con velocidad conservada. Se observa en su proximidad imagen heterogénea sugestiva de hematoma organizado, sin constatarse flujo en su interior. 
  • Flebotomografia de miembros inferiores (Día 18): Filtro de vena cava inferior infrayacente a venas renales. Stent metálico a nivel de la vena ilíaca común y externa izquierda, permeable. Se explora la región venosa del territorio femoral y poplíteo, evidenciándose defectos parciales de relleno endoluminal a nivel de la vena femoral superficial y profunda izquierdas, compatibles con trombosis venosa parcial. A nivel del tercio distal de la vena femoral común izquierda, se evidencia aumento de calibre e interrupción brusca de la opacificación del contraste (“signo de stop”), compatible con trombosis venosa oclusiva en dicho nivel, sin opacificación venosa distal. Se observan similares hallazgos a nivel de la vena femoral superficial contralateral, evidenciándose defectos de relleno endoluminal parcial hasta su tercio distal, con ausencia de opacificación distal. Salvo mejor criterio sugiero complementar con eco-Doppler de venoso de ambos miembros inferiores. Presenta edema difuso de los tejidos blandos de miembro inferior izquierdo. Se observa en los tejidos blandos de la región inguinal izquierda, colección hipodensa con realce periférico que mide 4.7 cm AP x 4 cm. Además se observan ganglios locorregionales aumentados en número y tamaño, algunos de rango megálico. 


Evolución: 

En sala general, hacia el día 8 evoluciona con regular manejo del dolor, por lo que se requiere ajustar analgesia. Se comienzan a estudiar posibles causas etiológicas, por lo que se solicita tomografía de tórax, abdomen y pelvis sin hallazgos de jerarquía, estudios prostáticos que informan hiperplasia prostática y ecografía testicular informando presencia de hidrocele. Se realizaron interconsultas a Servicios de Urología y Hematología. 

El día 11 el Servicio de Hemodinamia coloca nuevo stent a nivel de vena iliaca común y externa izquierda, sin complicaciones. Curso el postoperatorio en internación en Unidad de Cuidados Intermedios. Persiste anticoagulado, con estatinas y doble antiagregación (aspirina y clopidogrel). Retorna a Sala General el día 14 evolucionando con buen manejo del dolor, comenzando a movilizarse. El Servicio de Hemodinamia solicita eco doppler venoso y flebotomografía de control, con persistencia de la trombosis venosa profunda. 

Pendientes: 

  • Evaluación por el Servicio de Gastroenterología
  • Proteinograma por electroforesis 
  • Estudio de trombofilias
  • Resonancia magnética prostática

No hay información de la discusión.

No hay información de la evolución.

AngioTAC de miembros inferiores HEEP

AngioTAC de miembros inferiores HEEP

AngioTAC de miembros inferiores HEEP

AngioTAC de miembros inferiores HEEP

AngioTAC de miembros inferiores HEEP

AngioTAC de miembros inferiores HEEP

Electrocardiograma DÍA 0

Electrocardiograma DÍA 0

Electrocardiograma DÍA 0

Electrocardiograma DÍA 0

Electrocardiograma DÍA 0

Electrocardiograma DÍA 0

Electrocardiograma DÍA 0

Electrocardiograma DÍA 0

Radiografía de tórax al ingreso (Día 0)

Radiografía de tórax al ingreso (Día 0)

Angio TAC de miembros inferiores (Día 0)

Angio TAC de miembros inferiores (Día 0)

Angio TAC de miembros inferiores (Día 0)

Angio TAC de miembros inferiores (Día 0)

Angio TAC de miembros inferiores (Día 0)

Angio TAC de miembros inferiores (Día 0)

Angio TAC de miembros inferiores (Día 0)

Angio TAC de miembros inferiores (Día 0)

Angio TAC de miembros inferiores (Día 2)

Angio TAC de miembros inferiores (Día 2)

Angio TAC de miembros inferiores (Día 2)

Angio TAC de miembros inferiores (Día 2)

Angio TAC de miembros inferiores (Día 2)

Angio TAC de miembros inferiores (Día 2)

TAC de tórax, abdomen y pelvis con contraste EV (Día 10) Corte axial

TAC de tórax, abdomen y pelvis con contraste EV (Día 10) Corte axial

TAC de tórax, abdomen y pelvis con contraste EV (Día 10) Corte axial

TAC de tórax, abdomen y pelvis con contraste EV (Día 10) Corte axial

TAC de tórax, abdomen y pelvis con contraste EV (Día 10) Corte axial

TAC de tórax, abdomen y pelvis con contraste EV (Día 10) Corte axial

TAC de tórax, abdomen y pelvis con contraste EV (Día 10) Corte axial

TAC de tórax, abdomen y pelvis con contraste EV (Día 10) Corte axial

Flebotomografia de miembros inferiores (Día 18)

Flebotomografia de miembros inferiores (Día 18)

Flebotomografia de miembros inferiores (Día 18)

Flebotomografia de miembros inferiores (Día 18)

Flebotomografia de miembros inferiores (Día 18)

Flebotomografia de miembros inferiores (Día 18)

Flebotomografia de miembros inferiores (Día 18)

Flebotomografia de miembros inferiores (Día 18)