« Volver atrás

De la malabsorción al compromiso cutáneo: lesiones en miembros inferiores en paciente cirrotico con celiaquía no tratada

Imagen Principal
Presenta:
Escobar, Camila - Kippes, Antonela
Sin foto
Discusión a cargo:
Vechetti, Valentina - Parodi, Roberto
Sin foto

Enfermedad actual:

Paciente varón de 53 años es derivado desde consultorio del equipo de heridas crónicas por cuadro de diez días de evolución caracterizado por aparición de lesiones tipos ampollares asociadas a edema y eritema de miembro inferior izquierdo, refiere que luego de destecharse las mismas dieron lugar a lesiones maculares violáceas. Al interrogatorio dirigido manifiesta impotencia funcional progresiva en contexto de dolor y tumefacción.

Niega traumatismo previo en zona afectada, fiebre y otros síntomas asociados.

Antecedentes personales:

Ocupación: actualmente camionero, previamente mecánico. Abandona dicho trabajo por el dolor y edema en úlceras crónicas

Enfermedades del adulto:

  • Hipotiroidismo diagnosticado hace más de 20 años, sin tratamiento
  • Celiaquía (diagnosticada en 2023, refiere inicio de los síntomas - pérdida de peso, dolor abdominal, cambios en el hábito evacuatorio - en 2021)
  • Hepatopatía en estudio desde 2023 (Seguimiento en Hospital Centenario) - Diagnóstico de cirrosis en 2026
  • Úlceras crónicas en miembro inferior derecho, en seguimiento con Servicio de Heridas Crónicas desde 2023

Internaciones previas:

  • Abril 2025: úlcera de un año de evolución sobreinfectada, sin respuesta a tratamiento ambulatorio, por lo que realizó tratamiento antibiótico con piperacilina/tazobactam y cotrimoxazol. Durante la internación fue evaluado por servicio de dermatología, quienes realizarán biopsia cutánea de manera ambulatoria. Por presentar pancitopenia fue evaluado por Hematología que descartan etiología central, debiendo continuar con estudio de la misma de manera ambulatoria a la espera de evaluación por Gastroenterología.

Antecedentes Traumáticos:

  • Politraumatismo con fracturas costales y de omóplato secundario a accidente en vía pública en año 2015.

Antecedentes Quirúrgicos: Niega.

Antecedentes Alérgicos: Niega alergia medicamentosa.

Medicación habitual: Niega.

Vacunación: Refiere calendario completo.

Hábitos tóxicos: ex etilista de un litro de vino diario durante más de 20 años, abandona el hábito en el 2022. Niega tabaquismo y consumo de otras sustancias.

Antecedentes Familiares:

Madre fallecida con antecedente de cáncer de mama. Padre fallecido con antecedente de cáncer de páncreas. Hermano fallecido por aneurisma cerebral

Hermano con antecedentes de hepatitis en la infancia, desconoce más datos Hermana con antecedentes de hepatitis, refiere seguimiento en Hospital Centenario. Hija de 26 años con antecedentes de anorexia.

Exámenes complementarios previos

ANALÍTICA


 

 04/2305/2307/2401/25
Hemoglobina (g/dL)9.810.78.79.9
Hematocrito (%)29312832
VCM (fl)95.792.47477.8
HCM (pg)32.731.522.824.2
Glóbulos blancos (/mm)3570724025003220
Neutrófilos (%)68786264
Eosinófilos (%)4255
Basófilos (%)1111
Linfocitos (%)211322221
Monocitos (%)6699
Plaquetas (/mm)deriv a hemato156000175000168000
Glicemia (mg/dl)90969392
Urea (mg/dl)2714187
Creatinina (mg/dl)0.880.880.590.78
Sodio (mEq/l)139134137137
Potasio (mEq/I)3.843.744.233.89
Cloro (mEq/l)107102104102
Bilirrubina total (mg/dL)1.281.370.771.89
TGO (UI/L)818637102
TGP (UI/L)39531727
FAL (UI/L)163162118148
GGT (UI/L)1118856134
Proteínas totales (g/dL)7.77.87.78.3
Albúmina (g/dL)-2.83.53.3
TP (seg)1316-16.1
KPTT (seg)3032-32
Ferremia (60-160 ug/dl)7176-24
TIBC (228-428 mg/dl)12881--
% saturación Transferrina55.493.8--
Ferritina (ng/ml)230.2350.5-19.9
Ácido fólico17.29---

PERFIL INMUNOLÓGICO

  • Proteinograma por electroforesis (01/25):
Proteínas totales8.30
Albúmina3.30
Alfa1 antitripsina0.25
Alfa2 macroglobulina0.62
Beta 1 haptoglobina0.67
Beta 2 transferrina0.47
Inmunoglobulinas3
  • Fracción C3 complemento (08/25): 103 mg/dl (VN: 103-145)
  • Fracción C4 complemento (08/25): 10 mg/dl (VN: 20-50)
  • Anticuerpos anticardiolipinas (08/25) : Ac IgM 24 MPLU/ml (reactivo). Ac IgG 30 GPLU/ml (reactivo)
  • Anticuerpos anti beta 2 glicoproteína (08/25): <9.4 SGU (no reactivo)


IMÁGENES

  • Ecografía abdominal (03/23): HÍGADO: de tamaño, morfología y eco estructura respetados. Parénquima con aumento de la ecogenicidad compatible con esteatosis moderada a severa. Sin lesiones focales por esta metodología. BAZO: de tamaño, morfología y ecoestructura respetados. Parénquima homogéneo sin lesiones focales. PÁNCREAS: no visualizado por intenso meteorismo. VESÍCULA BILIAR: no visualizada. En su proyección se visualiza sombra acústica posterior, que podría corresponder a litiasis. VÍA BILIAR: intrahepática: de calibre conservado. Extrahepática: de calibre conservado. RIÑONES: Derecho: De ubicación, tamaño, morfología y ecoestructura respetados. Relación cortico medular respetada. Sin signos netos de uroectasia. Sin signos netos de urolitiasis por esta metodología diagnóstica. Izquierdo: De ubicación, tamaño, morfología y ecoestructura respetados. Relación cortico medular respetada. Sin signos netos de uroectasia. Sin signos netos de urolitiasis por esta metodología diagnóstica. VEJIGA: escasa repleción al momento del estudio.
  • Ecodoppler de hígado y eje esplenoportal (06/23): HIGADO: estructura heterogénea, con incremento del grosor de los ecos, compatible con hepatopatía crónica. No se observa MOE. Ascitis de moderada a importante. Eje esplenoportal permeable. Vena porta mide 14 mm de diámetro. El flujo es hepatópeto. Velocidad media promedio 12 cm/seg. Vena esplénica dilatada, parcialmente visualizada por interposición gaseosa. Venas suprahepáticas permeables con morfología de la onda Doppler conservada. BAZO: se observa esplenomegalia, mide 19 cm DL. Con Eco Doppler Color se observa circulación colateral. VESÍCULA: paredes finas, en su interior se visualizan múltiples litiasis. VÍA BILIAR: de calibre conservado. PÁNCREAS: mal visualizado por interposición gaseosa.
  • Ecografia abdominal (01/24): HÍGADO: aumentado de tamaño y ecogenicidad. No se observa MOE en los segmentos visualizados. No ascitis. VESÍCULA: de paredes finas. En su interior se visualizan múltiples imágenes hiperecogénicas, con sombra acústica posterior, compatibles con litiasis. VÍA BILIAR: de calibre conservado. PÁNCREAS: Ecoestructura heterogénea. No se visualiza dilatación del Conducto de Wirsung. BAZO: se observa esplenomegalia, diámetro máximo 205 mm. RIÑÓN DERECHO: situación normal, tamaño normal, morfología normal. Vía excretora de calibre conservado. No se observan imágenes de litiasis. RIÑÓN IZQUIERDO: situación normal, tamaño normal, morfología normal. Vía excretora de calibre conservado. No se observan imágenes de litiasis.
  • Videoendoscopia alta (02/24): ESÓFAGO: Mucosa normal. ESTÓMAGO: Mucosa normal en antro, cuerpo y fundus. DUODENO: Bulbo y segunda porción, mucosa micronodular con pliegues "en peinado". Se biopsia. Conclusión: Signos endoscópicos duodenales, sugestivos de atrofia vellositaria.
  • Ecodoppler arterial de miembro inferior derecho (04/2025): Se exploraron las arterias femoral común, femoral superficial, femoral profunda, poplítea, tibial posterior, tibial anterior y pedia (segmento proximal y distal). Miembro inferior derecho: En los segmentos arteriales explorados se observaron signos de ateromatosis aislada y marcado aumento del grosor y ecogenicidad de las paredes arteriales a predominio infrapatelar. Al análisis doppler de los segmentos arteriales explorados, se registró al momento del estudio, flujo anterógrado, laminar, con morfologías у velocidades conservadas. Conclusión: al momento del estudio no se observan signos de estenosis hemodinámicamente significativa en los segmentos explorados por esta modalidad diagnóstica.
  • Eco doppler venoso de miembro inferior derecho (04/25): Miembro inferior derecho: Sistema venoso profundo • Venas femoral común, femoral, femoral profunda y poplítea, competentes, compresibles. Por doppler se registran flujos sincrónicos con la respiración. • Venas del sistema profundo y muscular de la pantorrilla, no evaluable, debido a presencia de vendaje. Sistema venoso superficial • Unión safeno-femoral sin signos de insuficiencia. • Vena safena magna (suprapatelar) competente, compresible. • Vena safena parva no evaluable. Conclusión: Sin signos de insuficiencia venosa en los segmentos explorados. Al momento del estudio no se observan signos actuales de trombosis venosa profunda en los segmentos explorados.
  • TAC de tórax con contraste (08/25): No se identifican signos de consolidación del parénquima pulmonar o derrame pleural. Existen tractos fibrosos cicatrizales en el segmento lingular inferior. No se observan lesiones nodulares intrapulmonares. Tráquea y bronquios permeables.Secuelas fracturarias en múltiples arcos costales del lado izquierdo, a cotejar con los antecedentes. Con ventanas para la valoración del mediastino se observan ganglios laterotraqueales superiores de tamaño conservado, y ganglios subcarinales, el de mayor tamaño, mide 8 milímetros. No se observan adenomegalias axilares. Las estructuras vasculares y la silueta cardíaca se observan respetadas. Espondiloartrosis dorsal.
  • TAC de abdomen y pelvis con contraste EV (08/25): Se carecen de estudios previos. Se observa hígado de contornos irregulares, con hipertrofia en el lóbulo caudado y el lóbulo hepático izquierdo, con características de hepatopatía crónica, con esteatosis hepática difusa y un patrón de tinción heterogéneo con contraste, no evidenciándose lesiones focales en este examen. Se acompaña este hallazgo de marcada esplenomegalia, homogénea, con un bazo que mide 19 centímetros de diámetro vertical, se observa ingurgitación con prominentes estructuras venosas correspondientes a vena esplénica, circulación colateral venosa periesplénica, y shunts esplenorrenales. La vena porta también se observa aumentada de calibre, con un diámetro de 19 milímetros a nivel del hilio hepático. Vesícula esclero-atrófica con múltiples litiasis que moldean la luz vesical. No se observan lesiones en el páncreas, glándulas suprarrenales y riñones, se observa efecto de masa del bazo sobre el riñón izquierdo. Llama la atención marcada alteración con reticulación de la grasa peritoneal, tanto en el peritoneo anterior como principalmente engrosamiento de las fascias lateroconales y del peritoneo posterior, que se extiende por la grasa mesentérica hacia la pelvis, con ingurgitación de estructuras vasculares venosas pelvianas dependientes de la mesentérica inferior hacia la vena esplénica. No se observa ascitis al momento del examen. El tubo digestivo muestra el estómago colapsado de paredes no evaluables. El colon muestra abundante materia fecal, se observa un área de engrosamiento parietal del colon sigmoides que en primera instancia interpreto como falta de distensión. No se observan adenomegalias, existen ganglios aumentados en número a nivel del mesenterio y del retroperitoneo. No se observan adenomegalias ilíacas o inguinales. Severa ateromatosis de la aorta abdominal y sus ramas. Se observa menor flujo en la vena femoral y vena ilíaca externa izquierda respecto de la contralateral, si bien no es un estudio angiográfico, sugiero cotejar con eco doppler. Vejiga de paredes finas. Las estructuras óseas muestran incipientes espondiloartrosis y cambios degenerativos facetarios.
  • Fibroscan (01/26): Mediante la utilización del fibroscan se realiza elastografía del lóbulo hepático derecho obteniéndose una mediana de 49.9 Kpa que corresponde a un estadio de fibrosis F4 para su enfermedad de base. Los resultados de FibroScan® son fiables.


ANATOMÍA PATOLÓGICA

  • Biopsia médula ósea (04/2023): Descripción Macroscópica: Un cilindro de tejido óseo que mide 1 cm x 0.2 cm. Descripción Microscópica: La histología muestra un cilindro de tejido óseo esponjoso que incluye hasta cinco espacios medulares, ocupados por tejido hematopoyético en relación 60/40 respecto del estroma adiposo con amplios focos de hemorragia. Existe leve predominio de la serie roja de maduración normoblástica. La progenie mieloide presenta adecuada maduración. Los megacariocitos se hallan en número levemente aumentado con ocasionales formas de pequeño tamaño y núcleos hipolobulados. Se identifican escasos plasmocitos dispersos. Diagnóstico anatomopatológico: médula ósea levemente hipercelular para la edad con discreta. hiperplasia eritroide.
  • Biopsia de segunda porción duodenal (02/24): Descripción Macroscópica: Dos bocados biopsicos granulares y blanquecinos que miden 0,5 y 0,5 cm de diámetro mayor. Diagnóstico anatomopatológico: enteropatía duodenal caracterizada por atrofia vellositaria subtotal, incremento del recuento de lies (80/100 enterocitos) e hipoplasia críptica. moderada duodenitis inactiva. glándulas de brunner sin alteraciones. Los hallazgos corresponden a la categoría 3c de la clasificación de MARSH.
  • Biopsia de úlcera de miembro inferior derecho (04/25): Descripción Macroscópica: Un fragmento irregular de tejido que mide 1,2 x 0,9 x 0,5 cm. La superficie externa es granular y pardusca, focalmente revestida por ribete de tejido cutáneo reticular, rosado y pilificado. Al corte es blando y rosado pardusco. Diagnóstico anatomopatológico: borde y lecho de úlcera cutánea crónica con hiperplasia epidérmica, hiperqueratosis y signos de eccematización. No se observa formación de granuloma, signos de vasculitis ni signos de malignidad en el material examinado.
  • Biopsia de úlcera pretibial en miembro inferior derecho (12/25): Descripción Macroscópica: Dos fragmentos irregulares de tejido que miden 2 cm x 0,5 cm x 0,3 cm y 1,5 cm x 1cm x 0,5 cm. La superficie externa es granular y pardusca. En el fragmento de mayor tamaño se encuentra revestida parcialmente por epidermis reticular y grisácea. Al corte el tejido es firme y pardusco con área blanquecina. Diagnóstico anatomopatológico: fragmento de borde y lecho úlcera cutánea crónica con signos de necrosis dermoepidérmica deposición de fibrina y marcados signos de angiogénesis, con respuesta inflamatoria inespecífica y fibrosis dermoepidérmica. En el material examinado no se observan signos de vasculitis, hialinización de las paredes vasculares ni rasgos lúpicos.

Examen físico:

  • Impresión general: Regular estado general. Sarcopenia
  • Signos vitales: TA 100/60 mmHg, FC 88 lpm, FR 18 rpm, T° 36ºC, SatO2 98% (0.21)
     
Peso: 75 kgAltura: 1.80 cmIMC:23.1


Piel: sin alteraciones pigmentarias.

  • Cabeza: Ojos: conjuntivas rosadas, escleras blancas. Movimientos oculares no dolorosos. Fosas nasales: permeables sin secreciones ni epistaxis. Puntos sinusales negativos. Cavidad bucal: mucosas húmedas. Lengua central sin lesiones.
  • Cuello: cilíndrico, simétrico, no se palpan adenopatías ni tiroides. Sin ingurgitación yugular. Pulsos carotídeos simétricos, sin soplos.
  • Tronco: diámetro anteroposterior normal, sin cicatrices. Telangiectasias. Leve ginecomastia. Columna: sonora, indolora. Puño-percusión: negativa bilateral.
  • Aparato Respiratorio: respiración costo abdominal, sin utilización de músculos accesorios, reclutamiento abdominal, tiraje intercostal/supraclavicular, ni aleteo nasal. Expansión de bases y vértices conservada. Excursión de bases conservadas. Sonoridad conservada. Murmullo vesicular conservado, sin ruidos agregados.
  • Aparato Cardiovascular: ritmo cardíaco regular, ruidos cardíacos normofonéticos, sin soplos ni R3/R4.
  • Abdomen: abdomen globuloso, hepatomegalia a predominio de lóbulo izquierdo, esplenomegalia. Sin ascitis. Ruidos hidroaéreos presentes sin defensa ni descontractura. Hernia umbilical no complicada.
  • Neurológico: Vigil, orientado en tiempo, espacio y persona. Lenguaje: nomina y repite. Comprende: comandos y órdenes complejas. Pupilas: isocóricas reactivas y simétricas. Movimientos oculares externos: completos. Pares craneales: impresionan conservados. Reflejos osteotendinosos: positivos en los miembros evaluados. Sensibilidad: táctil superficial conservada. Coordinación: sin alteraciones. Sin signos meníngeos.
  • Extremidades: Superiores: Tono, trofismo y movilidad conservados. Pulsos conservados. Sin edema ni adenopatías. Inferiores: Tono, trofismo y movilidad conservados. Pulsos pedios y tibiales disminuidos. Derecho: presenta lesiones ulcerosas en: cara anterior de pierna con bordes bien definidos de 5 cm de diámetro, en región maleolar interna de 1 cm de diámetro, en cara interna de pierna de 3 cm de diámetro y en cara posterior de pierna de bordes netos con fondo fibrinoide de 4 cm de diámetro. Izquierdo: placa de borde pobremente diferenciado, eritematosa y edematosa, con aumento de temperatura local, con presencia de máculas violáceas y costras serohemáticas. Dolorosa a la palpación. Edema godet ++. Asimetría de miembros con respecto a contralateral.
  • Región Perineal y Genital: no evaluado..

Exámenes Complementarios:
ANALITICA

Laboratorio:Día 0Día 1Día 2
Hemoglobina (g/dL)7.68.17.7
Hematocrito (%)242725
VCM (fl)73.876.677.1
HCM (pg)23.223.423.5
Glóbulos blancos (/mm)341024802190
Neutrófilos (%)76--
Eosinófilos (%)1--
Basófilos (%)0--
Linfocitos (%)12--
Monocitos (%)11--
Plaquetas (/mm)109000225000202000
Glicemia (mg/dl)1188996
Urea (mg/dl)91215
Creatinina (mg/dl)0.590.740.78
Sodio (mEq/l)132135134
Potasio (mEq/I)3.84.074.38
Cloro (mEq/l)101103104
Calcio (mg/dL)7.6--
Fósforo (mg/dL)2.6--
Magnesio (mg/dL)1.6--
Bilirrubina total (mg/dL)1.23 (C0.81)-0.93
TGO (UI/L)46-40
TGP (UI/L)16-15
FAL (UI/L)72-77
GGT (UI/L)30-27
Amilasa (UI/L)50--
Proteínas totales (g/dL)6.67-
Albúmina (g/dL)2.62.7-
VES (mm/1° hora)74--
PCR (mg/L)9.9--
TP (seg)29.32728.7
KPTT (seg)444752
Tasa de protrombina (%)333633
  • Orina completa (Día 0): color ambar, aspecto límpido, densidad 1007, pH 6, proteinuria

0.10 (g/l), glucosuria no detectable, cetonuria no detectable, pigmentos biliares no detectable, urobilinas normal, hemoglobinuria no detectable, hematíes 1-2 x campo de 400x, leucocitos 4-5 x campo de 400x, piocitos no se observan, células epiteliales 5-6 x campo de 400x, cilindros no se observan.

  • Índices urinarios (Día 0):
Sodio (meq/l)11
Potasio (meq/l)19.03
Cloro (meq/l)14
Creatinina (mg/dl)67.03
Urea (mg/dl)380
Proteinuria (g/l)0.10
Índice proteinuria/creatininuria149.2
  • Electrocardiograma 12 derivaciones (Día 1): ritmo sinusal, regular, FC 80 lpm, intervalo PR 0.16 seg, segmento QRS seg 0.8, segmento ST isoeléctrico..
  • Serologías HIV- VDRL- VHC- VHB (Día 1): no reactivas
  • Perfil del hierro (Día 1):
Hierro (60-160 ug/dl)24
TIBC (228-428 mg/dl)268
% saturación Transferrina (20-55%)8.9
Ferritina (15-150 ng/ml)67.3
  • Dosaje de ácido fólico (Día 1): 3.46 ng/ml. (5.39-20)
  • Dosaje de vitamina B12 (Día 1): no disponemos de reactivo

MARCADORES TUMORALES:

  • Alfa fetoproteína (Día 2): 2.38 ng/ml (VN: 0.70-7.10)

ENDOCRINO-METABÓLICO:

  • Dosaje de 25 hidroxivitamina D2 y D3 Día 1): 8.6 ng/ml (VN: 20-30)
  • Tirotrofina (TSH) (Día 1): 15.84 uUI/ml (VN: 0.27-4.20)
  • T4 libre sérica (T4L) (Día 1): 7.3 ng/dl (VN: 0.93-1.7)
  • Hemoglobina glicosilada (Día 2): 4%

PERFIL INMUNOLÓGICO:

  • Fracción C3 complemento (Día 1): 95 mg/dl (VN: 103-145)
  • Fracción C4 complemento (Día 1): 6 mg/dl (VN: 20-50)
  • Factor antinuclear (FAN) (Día 1): pendiente
  • Anticuerpos anti ADN nativo (Día 1): pendiente
  • Anticuerpos anti antígenos nucleares extraibles (ENA) (Día 1): negativo
  • Anticuerpos anticardiolipina (Día 1) : pendiente
  • Anticuerpos anti beta 2 glicoproteína (Día 1): pendiente
  • Inmunoglobulina A (Día 1): 975 mg/dl.
  • Inmunoglobulina A (Día 2): 994 mg/dl


MICROBIOLOGÍA

  • Hemocultivos (Día 1): en curso

IMÁGENES:

  • Ecodoppler de miembros inferiores (Día 1): Miembro inferior derecho: Vaso permeable con presencia de ateroma plano, de densidad fibro-cálcica . Arteria femoral común: Flujo de morfología y velocidades conservadas lisas y leve. Arteria femoral profunda, femoral superficial y poplítea vasos permeables, de paredes aumento de la refringencia. Flujo anterógrado, laminar con morfologías y velocidades conservadas . paredes. Arteria tibial anterior, tibial posterior y pedia: Aumento del grosor y ecogenicidad de las . arteriales. Flujo anterógrado, laminar con morfologías y velocidades conservadas. Miembro inferior izquierdo: Arteria femoral común: Ateromatosis difusa con presencia de placas mixtas. Flujo monofásico con • Arteria femoral superficial: Ateromatosis difusa a predominio fibrocálcica. No se observan signos de estenosis hemodinámicamente significativas. Flujos monofásicos de velocidades conservadas. • Arteria poplítea: ateromatosis difusa con presencia de placas mixtas. Flujo monofásico de velocidades conservadas. • Arteria tibial anterior: ateromatosis difusa. Flujo proximal monofásico de velocidad conservada. (de alta resistencia). Arteria pedia: Ateromatosis difusa, constatándose a nivel distal flujo monofásico velocidades y con tiempo al pico preservado Arteria tibial posterior. Ateromatosis difusa, constatándose nivel distal flujo monofásico con a . velocidades y tiempo al pico preservado, Conclusión: Territorio femoro-popliteo sin evidencia de estenosis hemodinámicamente significativas. • Flujos difusamente monofásicos con componente diastólico que podrían corresponder a vasodilatación en miembro inferior izquierdo.
  • Ecografía abdominal y del eje esplenoportal (Día 1): PACIENTE SIN AYUNO. ESTUDIO DIFICULTOSO. HÍGADO: ligero incremento del grosor de los ecos. Sin lesiones netas en los segmentos visualizados. Vena porta mide 16 mm de diámetro. El flujo es hepatópeto. Velocidad media promedio 12 cm/seg. Vena esplénica no es posible evaluarla. Venas suprahepáticas permeables con morfología de la onda Doppler conservada. Se observa una fina banda de líquido perihepático. BAZO: se observa esplenomegalia, con un diámetro máximo de 218 mm, de parénquima homogéneo. Con Eco Doppler Color se observa circulación colateral significativa. VESÍCULA: parcialmente colapsada por falta de ayuno, impresiona con litiasis múltiples. VÍA BILIAR: de calibre conservado. PÁNCREAS: no visualizado. RIÑÓN DERECHO: situación normal, tamaño normal, morfología normal. Vía excretora de calibre conservado. No se observan imágenes de urolitiasis. RIÑÓN IZQUIERDO: situación y tamaño normal. Se visualizan por lo menos imágenes redondeadas, anecoicas, de aspecto líquido que mide 32 mm y 12 mm Vía excretora de calibre conservado. No se observan imágenes de urolitiasis. Tener en cuenta que el estudio fue realizado sin preparación.

Evolución

Cursa internacion en sala general por celulitis en pierna izquierda realizando tratamiento antibiótico empírico con ampicilina-sulbactam y trimetoprim-sulfametoxazol, sin aislamiento en hemocultivos a la fecha.

Evoluciona con regular control del dolor de miembro inferior izquierdo, úlceras crónicas en pierna derecha con fondo fibrinoso. En seguimiento con Servicio de Heridas Crónicas. Franca mejoría de edema y tumefacción en miembro izquierdo.

Se realiza interconsulta a Servicio de Gastroenterología para seguimiento en conjunto.

Pendientes

  • Proteinograma por electroforesis (Día 0)
  • Perfil para hepatopatías autoinmunes (Día 0)
  • Hemocultivos Día 0
  • Perfil autoinmune Día 1
  • Anticuerpos para celiaquía Día 1

No hay información de la discusión.

No hay información de la evolución.

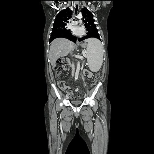
Tomografía de abdomen y pelvis con contraste. Corte coronal. VER CUAL

Tomografía de abdomen y pelvis con contraste. Corte coronal. VER CUAL

Tomografía de abdomen y pelvis con contraste. Corte coronal. VER CUAL

Tomografía de abdomen y pelvis con contraste. Corte coronal. VER CUAL

Tomografía de abdomen y pelvis con contraste. Corte coronal. VER CUAL

Tomografía de abdomen y pelvis con contraste. Corte coronal. VER CUAL

Úlceras crónicas en miembro inferior derecho.

Úlceras crónicas en miembro inferior derecho.

Úlceras crónicas en miembro inferior derecho.

Úlceras crónicas en miembro inferior derecho.

 Lesiones en miembro inferior izquierdo.

Lesiones en miembro inferior izquierdo.

 Lesiones en miembro inferior izquierdo.

Lesiones en miembro inferior izquierdo.

Palidez en uñas

Palidez en uñas

Ginecomastia y telangiectasias

Ginecomastia y telangiectasias

Ginecomastia y telangiectasias

Ginecomastia y telangiectasias