« Volver atrás

Disección aórtica en mujer joven: desafío etiológicos en contexto autoinmune

Imagen Principal
Presenta:
Ventura Josefina - Kippes Antonela
Sin foto
Discusión a cargo:
Oviedo Juan Ignacio - Negro Liliana
Sin foto

Enfermedad actual: 

Mujer de 28 años es traída por Servicio de Emergencias a guardia general de nuestro hospital por cuadro de una hora de evolución de inicio súbito, caracterizado por dos episodios de pérdida de la consciencia seguida de movimientos tónico - clónicos generalizados, según refiere médico de ambulancia. 

Se interroga a familiares presentes, quienes refieren que dicho cuadro fue precedido por dolor torácico de inició súbito que irradia a cuello y dorso asociado a náuseas. Niegan otros síntomas asociados.

Antecedentes personales

  • Enfermedades del adulto: 
    • Hipotiroidismo diagnosticado a los 19 años, abandonó el tratamiento. 
    • Hipertensión arterial, diagnosticada en el año 2022.
    • Artritis reumatoidea, diagnosticada en abril de 2023. En seguimiento por el equipo de Reumatología del Hospital Provincial del Centenario.  
    • Doble enfermedad valvular aórtica por valvulopatía bicúspide e hipertrofia excéntrica del ventrículo izquierdo, diagnosticada en abril de 2023. 
    • Poliangeitis microscópica con glomerulonefritis focal y segmentaria necrotizante pauciinmune diagnosticada por biopsia renal en junio 2023.
  • Internaciones previas: 
    • Abril 2023: internación en Hospital Provincial del Centenario para estudio de poliartralgias (rodillas, muñecas e interfalángicas proximales de ambas manos) con diagnóstico de artritis reumatoidea por lo que realizó corticoterapia con buena respuesta. Se realizó diagnóstico de doble enfermedad valvular aórtica por valvulopatía bicúspide e hipertrofia excéntrica del ventrículo izquierdo. 
    • Agosto 2023: internación en Hospital Provincial del Centenario para realización de pulso de corticoides por diagnóstico reciente de glomerulonefritis secundaria a poliangeitis microscópica. Continúo tratamiento con seis ciclos totales de ciclofosfamida (última dosis Enero 2024), y posteriormente con cinco ciclos de rituximab 1 gr (última dosis Septiembre 2025). 
  • Antecedentes gineco - obstétricos: G2P1C1. Fecha de última menstruación: 29/03/2026. Método anticonceptivo: implante subdérmico. 
  • Antecedentes Traumáticos: niega. 
  • Antecedentes Quirúrgicos: niega. 
  • Antecedentes Alérgicos: niega alergia medicamentosa.
  • Medicación habitual: Adherencia irregular. Prednisona 25 mg por día vía oral, amlodipina 10 mg por día vía oral, omeprazol 20 mg por día vía oral, levotiroxina 200 mcg los sábados y domingos, 150 mcg el resto de los días en ayunas, vitamina D 100.000 U por mes vía oral, calcio 500 mg cada 12 hs vía oral, cotrimoxazol 800/160 mg los días lunes, miércoles y viernes vía oral. 
  • Vacunación: niega. 
  • Hábitos tóxicos: tabaquista de baja jerarquía (0.1 paq/año). Consumo de alcohol ocasional. Niega consumo de otras sustancias. 


Antecedentes familiares:

  • Padre: etilista de jerarquía, cirrosis, hipertensión arterial. 
  • Madre: hipertensión arterial y enfermedad de Chagas. 
  • Hermanas/os: doce hermanos. Hermano fallecido a los 36 años por muerte súbita. Hermana de 47 años con hipertensión arterial, diabetes mellitus tipo II y  antecedente de accidente cerebro vascular hace 7 meses. 
  • Hijos/as: dos hijos sanos.
  • Además refiere que en la familia hay 3 niños que fallecieron antes del año de vida, por enfermedad cardiovascular, sin más datos. 


Examen físico:

  • Impresión general: Regular estado general. 
  • Signos vitales: TA 100/60 mmHg en miembros superiores y 110/70 mmHg en miembros inferiores, FC 72 lpm, FR 12  rpm, T° 36º C, SatO2 98% (0.21).  
  • Piel: cianosis peribucal, en las falanges distales de ambos miembros superiores y lóbulos de ambas orejas, sin cicatrices. 
  • Cabeza: Ojos: conjuntivas rosadas, escleras blancas. Movimientos oculares no dolorosos. Fosas nasales: permeables sin secreciones ni epistaxis. Puntos sinusales negativos. Cavidad bucal: mucosas húmedas. Lengua central sin lesiones.
  • Cuello: cilíndrico, simétrico, no se palpan adenopatías ni tiroides. Sin ingurgitación yugular. Pulsos carotídeos simétricos, sin soplos.
  • Tronco: diámetro anteroposterior normal, sin cicatrices. Mamas: sin nódulos ni depresiones, ni secreción por pezón. Columna: sonora, indolora. Puño-percusión: negativa bilateral. 
  • Aparato Respiratorio: respiración costo abdominal, sin utilización de músculos accesorios, reclutamiento abdominal, tiraje intercostal/supraclavicular, ni aleteo nasal. Expansión de bases y vértices conservada. Excursión de bases conservadas. Sonoridad conservada. Murmullo vesicular conservado, sin ruidos agregados.
  • Aparato Cardiovascular: ritmo cardíaco regular, ruidos cardíacos normofonéticos. Sin soplos ni R3/R4.
  • Abdomen: abdomen globuloso a expensas de panículo adiposo, sin estigmas de circulación colateral. Blando, depresible e indoloro. Sin visceromegalias. Timpanismo conservado. Traube libre Ruidos hidroaéreos conservados. 
  • Neurológico: tendencia al sueño, apertura ocular al llamado, parcialmente orientada en espacio, orientada en persona y tiempo. Lenguaje: nomina y repite. Comprende comandos y órdenes simples. Pupilas: isocóricas reactivas y simétricas. Movimientos oculares externos: completos. Pares craneales: impresionan conservados. Reflejos osteotendinosos: positivos en los miembros evaluados. Sensibilidad: táctil superficial conservada. Coordinación: sin alteraciones. Respuesta plantar: indiferente bilateral. Hoffman: negativo bilateral. Marcha: no evaluada. Sin signos meníngeos.
  • Extremidades: Superiores: Tono, trofismo y movilidad conservados. Pulsos conservados. Sin edema ni adenopatías. Inferiores: Tono, trofismo y movilidad conservados. Homans y Ollows negativos. Sin edemas ni adenopatías.
  • Región Perineal y genital: sonda vesical a declive con escaso débito en bolsa colectora. 


Exámenes complementarios previos: 

IMÁGENES:

  • Eco Doppler Renal (13/07/22): RIÑON DERECHO: en posición habitual, mide 96 mm de diámetro longitudinal, parénquima homogéneo de 17 mm de espesor, con nula diferenciación corticomedular. No se observan dilataciones pielocaliciales que pueden considerarse patológicas. No se observan imágenes compatibles con litiasis. Se evalúan los flujos arteriales y venosos. Se observan arterias nivel principal, segmentarias y arcuatas observándose con velocidad pico sistólica disminuida un índice de resistencia de 0.46 y 0.55. A nivel de ostium aórtico presenta la arteria renal una velocidad pico sistólica de 79 cm/s. Flujos venosos conservados. RIÑÓN IZQUIERDO: en posición habitual, disminuido de tamaño, mide 88 mm de diámetro longitudinal, parénquima heterogéneo de 14 mm de espesor, con disminución de la diferenciación corticomedular. No se observan dilataciones pielocaliciales que puedan considerarse patológicas, no visualizo imágenes compatibles con litiasis. Se evalúan los flujos arteriales y venosos. Se observan arterias a nivel principal, segmentarias y arcuatas observándose con velocidad pico sistólica disminuida un indice de resistencia de 0.61-0.64. A nivel del ostium aórtico presenta la arteria renal una velocidad pico sistólica de 80 cm/s, flujos venosos conservados. AORTA ABDOMINAL: presenta una velocidad pico sistólica de 114 cm/s paredes regulares.
  • Eco Doppler renal (15/03/23): AORTA ABDOMINAL: flujo conservado, velocidad pico sistólica 95 cm/seg. RIÑÓN DERECHO: ubicación habitual, forma y tamaño conservado, mide 94 mm de diámetro longitudinal, parénquima renal de espesor conservado y heterogéneo, no se visualiza dilatación pielocalicial ni imágenes sospechosas de urolitiasis. Doppler:  arteria renal derecha con flujo conservado en su origen, tiempo de aceleración de 56 ms (normal), flujo parvus tardus lo que indicaría estenosis significativa en segmentos proximales. RIÑÓN IZQUIERDO: ubicación habitual, forma y tamaño conservado, mide 104 mm diámetro longitudinal, parénquima renal de espesor conservado y heterogéneo, no se visualiza dilatación pielocalicial ni imágenes sospechosas de urolitiasis. Doppler: flujo parvus tardus lo que indicaría estenosis significativa en segmentos proximales. Sugiero de creerlo conveniente complementar con otra metodología diagnóstica para evaluar segmentos medios de arterias renales donde podría existir estenosis por los flujos obtenidos a nivel distal.
  • Ecocardiograma (25/04/23): ventrículo izquierdo dilatado en grado leve. Hipertrofia excéntrica. Engrosamiento y contractilidad normal. Función sistólica del ventrículo izquierdo global conservada. Aurícula izquierda, aurícula derecha y ventrículo derecho de dimensiones normales. Válvula aórtica se presenta funcionalmente como bivalva, horizontal por fusión (y rafe) entre valva coronaria derecha e izquierda. Presenta leves signos de engrosamiento y defecto de coaptación. Aorta ascendente dilatada a nivel de porción tubular. Cayado aórtico normal. Mitral: Flujo de morfología y velocidad máxima tipo relajación con ventricular retardada. Disfunción diastólica sin aumento de las presiones de llenado. Aórtico: Flujo turbulento con incremento de la velocidad y gradiente por estenosis aórtica leve. Reflujo aórtico moderado. Tricuspídeo: Flujo de morfología y velocidad normal. Reflujo mínimo. Pulmonar: Flujo de morfología y velocidad máxima normal. Sin reflujo. Conclusiones: Doble enfermedad valvular aórtica por valvulopatía bicúspide. Hipertrofia excéntrica del ventrículo izquierdo con función sistólica del ventrículo izquierdo global conservada.

LABORATORIO. 

  • Perfil inmunológico (23/04/23):  Factor reumatoideo 170 UI/ml (VN: 4-14). C3 138 mg/dl (VN: 103-145). C4 19 mg/dl (VN: 20-50). FAN negativo. Acs. anti péptido citrulinado (aCCP) 391.5 U (VN 0-10). 
  • Perfil inmunológico (07/08/23): FAN negativo, ANCA positivo con patrón periférico, título 1/160. Anticuerpos anti - proteinasa 3 (aPR3) negativo. Anticuerpos anti mieloperoxidasa (aMPO) positivo. 
  • Perfil tiroideo (07/08/2023): TSH 9.82 pUI/ml (VN 0.27-4.20). T4 total 7.3 ug/dl (VN 5.1-14.1). T3 1.12 ng/ml (VN 0.80-2). Ac anti tiroperoxidasa > 600 UI/ml (VN 5-34). Acs anti tiroglobulina 515.8 UI/ml (VN 10-115). 

ANATOMÍA PATOLÓGICA.  

  • Anatomía patológica de biopsia renal (23/06/23): rasgos vinculables a glomerulonefritis proliferativa focal y segmentaria con lesión necrotizante y esclerosante y proliferación extracapilar focal. Moderado compromiso túbulo-intersticial con atrofia tubular estimada del 30%. Leves arteriosclerosis y arterioloesclerosis hialina. Comentario: Estos hallazgos se interpretan como una vasculitis renal asociada al ANCA (+), en fase evolutiva crónica. 
  • Inmunohistoquímica de biopsia renal (23/06/23): C3 + de intensidad. IgM de leve intensidad. No se reconocen depósitos de IgG, IgA, C1q, fibrinógeno, Kappa ni Lambda.

Exámenes Complementarios: 

Laboratorio:Día 0Día 8Día 10
Hemoglobina (g/dL)13.89.89.7
Hematocrito (%)413030
VCM (fl)87.989.991.4
HCM (pg)29.43029.7
Glóbulos blancos (/mm)24.13024.73021.850
Neutrófilos (%)--63
Eosinófilos (%)--0
Basófilos (%)--0
Linfocitos (%)--13
Monocitos (%)--8
Plaquetas (/mm)271.000362.000364.000
Glicemia (mg/dl)1528183
Urea (mg/dl)80107127
Creatinina (mg/dl)2.782.452.95
Sodio (mEq/l)135145138
Potasio (mEq/I)3.704.184.98
Cloro (mEq/l)100106104
Calcio (mg/dL)88.58.3
Fósforo (mg/dL)43.64.8
Magnesio (mg/dL)22.32.3
pH7.347.327.29
pCO2 (mmHg)28.847.745.5
pO2 (mmHg)108.522.533
Exceso de base (mmol/L)-8.8-1.7-4.5
HCO3 (mmol/L)15.424.321.7
SatO2 (%)98.133.747.8
Ácido láctico (mmol/L)3.823.443.20
Bilirrubina total (mg/dL)0.630.540.55
TGO (UI/L)193927
TGP (UI/L)124139
FAL (UI/L)85161128
GGT (UI/L)24195134
Amilasa (UI/L)71102-
Proteínas totales (g/dL)5.7--
CPK (UI/L)98--
LDH (UI/L)254--
VES (mm/1° hora)15--
PCR (mg/L)3.5--
  • Tasa de filtrado glomerular estimado (TFGe) MDRD (día 0):  21 ml/min/m2 sup. 
  • Electrocardiograma 12 derivaciones (día 0): ritmo sinusal, FC 85 lpm, eje cardíaco -20°,  intervalo PR 0.12 seg, segmento QRS 0.08 seg, intervalo QTc 0.440 seg. 
  • Test de embarazo en suero (día 0): negativo. 
  • Orina completa (día 0): color amarrillo, aspecto limpido, densidad 1019, pH 5, proteinuria 3.55 (g/l), glucosuria, cetonuria y pigmentos biliares no detectables, urobilinas normal, hemoglobinuria 3+, 3-5 hematíes x campo de 400x, 1-2 leucocitos x campo de 400x, piocitos no se observan, 8-10 células epiteliales x campo de 400x. Se observa un cilindro ganulohialino cada 3-4 campos. Creatininuria 125.89 (mg/dl) - índice proteinuria/creatininuria 2819.9.
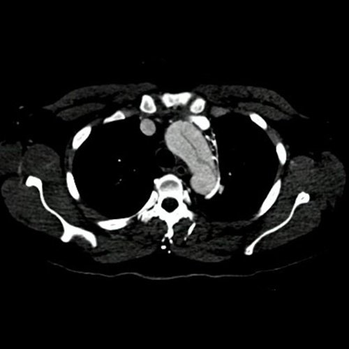
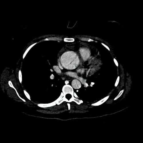
  • Angio-TCMS de aorta toracoabdominal y vasos iliofemorales - pre informe (día 0): Interpretación: Se identifica un flap de disección aórtica, que se extiende desde la raíz aórtica, hasta el segmento distal de la aorta torácica descendente, asociado a dilatación aneurismática de la raíz aórtica y la aorta ascendente. No se observa disección de aorta abdominal al momento del examen. El flap de disección compromete la aorta ascendente, el arco aórtico y los tres vasos supraaórticos, extendiéndose hacia el tronco braquiocefálico derecho, con compromiso de la arteria subclavia derecha, así como también de la porción proximal de la arteria carótida primitiva izquierda y de la arteria subclavia izquierda. No impresiona compromiso de la emergencia de las arterias coronarias por esta metodología. Diámetros de la Aorta en sus diferentes porciones:  Senos de Valsalva: 40 mm.  Región media de aorta ascendente: 37 mm. Región media del cayado: 23 mm. Región media de la aorta descendente: 22 mm. A nivel de las cruras diafragmáticas: 19 mm. A nivel del origen del tronco celíaco: 18 mm. A nivel infrarrenal: 14 mm. Previo a su bifurcación iliaca: 13 mm. Hipertrofia del ventrículo izquierdo. Derrame pericárdico de 13 mm de espesor a nivel de cara anterior, de densidad promedio de 30 UH. El esófago es de calibre y trayecto normales. El mediastino está en posición central. No se observan adenomegalias mediastinales, axilares o hiliares. El árbol traqueobronquial no presenta alteraciones. Áreas de aneumatosis bibasal. No se observa derrame pleural. El hígado es de forma, tamaño y situación habituales. Su superficie es lisa, y sus bordes son agudos. El parénquima hepático presenta atenuación heterogénea, con áreas hipodensas difusas, hallazgos que podrían estar en relación con trastorno perfusional. Se observa además edema periportal. La vía biliar intra y extrahepática es de calibre conservado. La vesícula biliar es de forma, tamaño y situación normales, sin imágenes que sugieran la presencia de litiasis. Tener en cuenta que este método puede pasar por alto litiasis colesterínicas. Edema perivesicular. El bazo es de forma, tamaño y situación normales. El eje esplenoportal es de calibre y trayecto conservado, permeable. El páncreas es de características normales. El conducto de Wirsung es de calibre conservado. Las glándulas adrenales son normales. Ambos riñones son de forma, tamaño y situación habituales. Concentran y eliminan normalmente la sustancia de contraste, sin evidencia de alteraciones calicopiélicas ni ureterales. La vena cava inferior y las venas ilíacas primitivas, internas, externas y femorales son de calibre y trayecto conservados, permeables. No se observan adenomegalias intraperitoneales, retroperitoneales, ilíacas ni inguinales. No se observan alteraciones a nivel del tracto gastrointestinal. Vejiga con escasa repleción, con sonda balón en su interior. El útero es de forma, tamaño y situación conservada, sin alteraciones densitométricas, en anteversoflexión. En topografía de ambos anexos se observan colecciones líquidas de aspecto funcional que miden 23 mm a izquierda y 18 mm a derecha. Escasa cantidad de líquido libre en el fondo de saco de Douglas. Espondiloartrosis de la columna dorso-lumbar. 
  • Ecocardiograma doppler (día 8): Ventrículo izquierdo de dimensiones normales. Hipertrofia concéntrica.  Engrosamiento parietal normal. Función sistólica global conservada. Aurícula izquierda dilatada en grado leve. Ventrículo derecho de dimensiones normales. Aurícula derecha de dimensiones normales. Válvula aórtica con signos de esclerosis, con apertura normal. Válvula mitral normal con apertura y cierre normal. Válvula pulmonar y tricúspide normal. Raíz aórtica de dimensiones normales. Aorta ascendente protésica de dimensiones normales. Cayado aórtico de dimensiones normales. Pericardio normal con mínimo derrame. Válvula mitral: flujo mitral bifásico, laminar, no evaluable en el contexto actual de la paciente. Sin reflujo. Válvula aórtica: flujo laminar normal. Reflujo leve. Válvula pulmonar: flujo laminar normal. Reflujo fisiológico. Válvula tricúspide: flujo laminar normal. Reflujo fisiológico 
  • ANCA (día 8): pendiente. 
  • C3 (día 8): 148 mg/dl. (VN: 103 - 145). 
  • C4 (día 8): 15 mg/dl. (VN: 20 - 50). 
  • FAN (día 8): negativo. 
  • Sedimento urinario especializado - informe verbal (día 8): no activo.
  • Anatomía patológica de aorta - informe verbal (Día 9): degeneración basofílica microvascular de la capa media con hemorragia disecante de la pared. Pendiente informe final. 
  • Ecografía doppler renal (día 10): RIÑÓN DERECHO. En posición habitual, disminuido de tamaño. Mide 79 mm de diámetro longitudinal. Parénquima heterogéneo de 10 mm de espesor, con nula diferenciación corticomedular.  No observo dilataciones pielocaliciales que puedan considerarse patológicas. No visualizo imágenes compatibles con litiasis. Se exploran flujos arteriales y venosos.  Se observa arterias a nivel segmentarias, observándose velocidad pico sistólica de 36 cm/seg – Índice de resistencia 0.60. Tiempo de aceleración conservado (80 ms). Flujos venosos conservados.  Arteria renal principal no visualizada debido a extenso meteorismo abdominal. RIÑÓN IZQUIERDO En posición habitual, disminuido de tamaño. Mide 75 mm de diámetro longitudinal. Parénquima heterogéneo de 13 mm de espesor, con disminución de diferenciación corticomedular.  No se observan dilataciones pielocaliciales que puedan considerarse patológicas.  No visualizo imágenes compatibles con litiasis. Se observa arterias a nivel segmentarias, observándose velocidad pico sistólica de 22 cm/seg – índice de resistencia 0.63. Tiempo de aceleración conservado (84 ms).  Flujos venosos conservados.  Arteria renal principal no visualizada debido a extenso meteorismo abdominal. AORTA Abdominal presenta una velocidad pico sistólica de 45 cm/seg.


Evolución: 

A su ingreso, se realiza interconsulta a servicio de Clínica Médica. Por sospecha de aneurisma de aorta y debido a cuadro clínico actual, se solicita angiotomografía de aorta torácica y abdominal.  En dicho estudio se evidencia disección aórtica Stanford tipo A con compromiso hasta territorio torácico, por lo que se decide su pase a Unidad Coronaria para monitoreo contínuo. Inició tratamiento médico antihipertensivo con nitroglicerina endovenosa. 

Se solicita derivación al Instituto Cardiovascular de Rosario, donde se realiza cirugía de reemplazo de aorta ascendente con tubo N° 26. Tiempo de bomba: 179 minutos. Tiempo de clampeo: 57 minutos. Temperatura mínima: 18.8° C. Sin complicaciones intraoperatorias. Como complicaciones postoperatorias presentó: 

  • Hipertensión arterial con requerimiento de tratamiento endovenoso con nitroprusiato de sodio. 
  • Injuria e isquemia perioperatoria con aumento biomarcadores y cambios electrocardiográficos, sin más datos.
  • Hemiparesia braquio-crural izquierda con desviación de la mirada hacia derecha, por lo que fue evaluada por Servicio de Neurología, constatando disección de carótida primitiva derecha sin flujo en luz falsa y disección de carótida primitiva izquierda con flujo en luz verdadera y falsa, por lo que se define tratamiento médico con aspirina.

El día 7 retorna a nuestro efector para continuar control evolutivo en Unidad Coronaria y el día 8 por evolucionar hemodinámicamente estable, se decide su paso a Sala General. 

             El día 9, se solicita nuestra evaluación para continuar estudio y seguimiento, en conjunto con los Servicios de Nefrologia, Reumatologia y Cardiologia. Se solicitó sedimento urinario, dosaje de complemento y se evaluó características imagenológicas de pared aórtica. 

El día 10 se indica alta hospitalaria, debiendo continuar con estrictos controles ambulatorios. 

Pendientes: 

  • Informe final de anatomía patológica de aorta. 
  • Perfil inmunológico. 
  • Informe final de sedimento urinario. 
  • Fondo de ojos 

No hay información de la discusión.

No hay información de la evolución.

Angiotomografía con contraste endovenoso de aorta torácica. Corte axial.

Angiotomografía con contraste endovenoso de aorta torácica. Corte axial.

Angiotomografía con contraste endovenoso de cayado aórtico. Corte axial.

Angiotomografía con contraste endovenoso de cayado aórtico. Corte axial.

Angiotomografía con contraste endovenoso de aorta toracoabdominal. Corte coronal.

Angiotomografía con contraste endovenoso de aorta toracoabdominal. Corte coronal.