« Volver atrás

Lesiones en un huésped vulnerable: cuando la piel habla

Imagen Principal
Presenta:
Ventura Josefina
Sin foto
Discusión a cargo:
Gallo, Greta - Realini Melisa
Sin foto

Enfermedad actual: 

Paciente masculino de 45 años es derivado desde el consultorio de Infectología por cuadro de 3 semanas de evolución caracterizado por lesión costrosa en cartílago nasal lateral derecho. Agrega en las últimas 2 semanas lesiones cutáneas generalizadas de tipo pápulo costrosas y presenta en las últimas 24 hs prurito en hemitórax izquierdo asociado a lesiones vesiculares con base eritematosa de distribución metamérica por lo que decide consultar. 

Al interrogatorio dirigido niega fiebre u otros síntomas acompañantes. 

Antecedentes personales

  • Enfermedades del adulto: 
    • Enfermedad renal crónica secundaria a reflujo vesico - ureteral diagnosticado en la infancia. Vinculado a hemodiálisis por seis meses hasta trasplante renal de donante vivo en el año 1993 con posterior rechazo y revinculación a hemodiálisis en 2024 hasta Abril 2025 donde recibe nuevo trasplante renal de donante cadavérico.  
    • Hipertensión arterial, diagnosticada en 1993. 
    • Infección por virus Hepatitis C secundaria a transfusiones postrasplante, sin más datos. 
    • Hipotiroidismo secundario a tiroidectomía total por nódulo tiroideo. 
  • Internaciones previas: 
    • Múltiples internaciones por infecciones urinarias complicadas.
    • Abril 2025 cursó internación para control postoperatorio de trasplante renal izquierdo de donante cadavérico. Complicaciones: hematoma perirrenal con caída del hematocrito y requerimiento transfusional. Laparoscopia con lavado de la cavidad peritoneal y colocación de drenaje transitorio. Además, por aislamiento de Candida albicans en líquido de transporte, inició tratamiento con fluconazol. 
    • Abril 2025 cursó internacion por dehiscencia de la unión ureterovesical del injerto renal con requerimiento de rafia, sin complicaciones posteriores. Completo 14 días de tratamiento con fluconazol dirigido a aislamiento en líquido de transporte. 
    • Diciembre 2025 infección urinaria complicada realizó tratamiento empírico con colistin por 3 días, rotando posteriormente a meropenem que realizó por cinco días, completando ocho días totales, dirigido a aislamiento en cultivos de Klebsiella pneumoniae productora de betalactamasas de espectro extendido.  
    • Febrero 2026 cursó internación por sindrome febril sin foco claro asociado a pancitopenia, realizó antibioticoterapia empírica con meropenem por tres días, la cual se suspende en acuerdo con Servicio de Infectología por evolucionar hemodinámicamente estable, asintomático, sin aislamientos en cultivos y con mejoría de parametros analiticos. A su ingreso además presentó agudización de falla renal crónica, no oligúrica, con mejoría posterior. 
  • Antecedentes Traumáticos: 
    • Fractura de clavícula a los 11 años, sin más datos. 
    • Fractura de muñeca en 2010, sin más datos. 
    • Fractura de tobillo en 2015, sin más datos. 
  • Antecedentes Quirúrgicos: 
    • Nefrectomía izquierda en la infancia, sin más datos. 
    • Apendicectomía en el año 1992, sin más datos. 
    • Trasplante renal derecho en 1993. 
    • Tiroidectomía total por nódulo tiroideo, sin más datos. 
    • Trasplante renal izquierdo en Abril 2025 (donante cadavérico).
  • Antecedentes Alérgicos: niega alergia medicamentosa.
  • Medicación habitual: levotiroxina 100 mcg/día, carvedilol 6.25 mg/día, losartan 50 mg por día,  micofenolato 360 mg cada 12 horas, prednisona 5 mg/día, EPO 4.000 UI una vez por semana subcutánea, tacrolimus 1.5 mg a las 8:00 y 1.5 mg a las 20:00hs, Terazosina 2.5 mg/día, cefalexina 500 mg/día.  
  • Vacunación: 3 dosis SARS-CoV-2.
  • Hábitos tóxicos: niega. 

Antecedentes familiares:

  • Padre: hipertensión arterial y accidente cerebrovascular isquémico a los 67 años. 
  • Madre: hipertensión arterial. 
  • Hermanas/os: niega. 
  • Hijos/as: niega. 

Examen físico:

  • Impresión general: Buen estado general. 
  • Signos vitales: TA 150/90  mmHg, FC 90  lpm, FR 14 rpm, T° 36ºC, SatO2 97% (0.21) 
  • Piel: múltiples lesiones cutáneas pápulo-costrosas con halo periférico eritematoso, y otras vesiculares en cara, cuero cabelludo, tórax y miembros. 
  • Cabeza: Ojos: conjuntivas rosadas, escleras blancas. Movimientos oculares no dolorosos. Fosas nasales: permeables sin secreciones ni epistaxis. Puntos sinusales negativos. Presenta en cartílago nasal lateral derecho lesión costrosa impetiginizada con bordes eritematosos de aproximadamente 2 x 2 cm. Cavidad bucal: mucosas húmedas. Lengua central sin lesiones.
  • Cuello: cilíndrico, simétrico, no se palpan adenopatías ni tiroides. Sin ingurgitación yugular. Pulsos carotídeos simétricos, sin soplos.
  • Tronco: diámetro anteroposterior normal, sin cicatrices. Columna: sonora, indolora. Puño-percusión: negativa bilateral. Presenta en cara anterior y posterior de hemitórax izquierdo lesiones tipo vesículas con base eritematosa que tienden a confluir. 
  • Aparato Respiratorio: respiración costo abdominal, sin utilización de músculos accesorios, reclutamiento abdominal, tiraje intercostal/supraclavicular, ni aleteo nasal. Expansión de bases y vértices conservada. Excursión de bases conservadas. Sonoridad conservada. Murmullo vesicular conservado, sin ruidos agregados.
  • Aparato Cardiovascular: ritmo cardíaco regular, ruidos cardíacos normofonéticos, sin soplos ni R3/R4.
  • Abdomen: abdomen plano, sin estigmas de circulación colateral ni cicatrices. Blando, depresible e indoloro. Sin visceromegalias. Timpanismo conservado. Traube libre Ruidos hidroaéreos conservados. Presenta cicatrices en ambas fosas iliacas concordante con los antecedentes del paciente. 
  • Neurológico: Vigil, orientado en tiempo, espacio y persona. Lenguaje: nomina y repite. Comprende: comandos y órdenes complejas. Pupilas: isocóricas reactivas y simétricas. Movimientos oculares externos: completos. Pares craneales: impresionan conservados. Reflejos osteotendinosos: positivos en los miembros evaluados. Sensibilidad: táctil superficial conservada. Coordinación: sin alteraciones. Respuesta plantar: indiferente bilateral. Hoffman: negativo bilateral. Marcha: no evaluada. Sin signos meníngeos.
  • Extremidades: Superiores: Tono, trofismo y movilidad conservados. Pulsos conservados. Sin edema ni adenopatías. Fístula arteriovenosa braquial izquierda con buen frémito y soplo.   Inferiores: Tono, trofismo y movilidad conservados. Homans y Ollows negativos. Sin edemas ni adenopatías. 
  • Región Perineal y genital: no evaluado. 


Exámenes complementarios previos:

Laboratorios. 

  • Hisopado nasofaríngeo (18/02/26): SARS CoV2 no detectable. Virus sincicial respiratorio no detectable. Virus Influenza A/B no detectable.
  • PCR de citomegalovirus en sangre (20/02/26): no detectable. 
  • Laboratorio 21/02/26): Hb 9.5 (g/dl) - Hto 27% - GB 2.670/mm3 (N 55% L 35%) - plaquetas 74.000/mm3. Uremia 90 (mg/dl) - creatininemia 2.67 (mg/dl). Bilirrubina total 0.40 (mg/dl) - TGO 43 (UI/l) - TGP 47 (UI/l) - FAL 112 (UI/l) - GGT 195 (UI/l). PCR 34.2 (mg/l). VES 17 mm/1° hora. 
  • Dosaje tacrolimus (24/02/26): 8.60 ng/ml (VN 5-20 ng/ml). 
  • Serología virus Dengue IgM (25/02/26): no reactivo. 

Estudios por imágenes. 

  • Ecografía abdominal (21/02/26): HÍGADO: forma y tamaño conservado. Parénquima ligeramente heterogéneo con aumento del grosor de los ecos. No se observan lesiones netas en los segmentos visualizados. VESÍCULA: paredes finas, contenido líquido homogéneo. Alitiásica. VÍA BILIAR: de calibre conservado. PÁNCREAS: no visualizado por abundante interposición gaseosa. BAZO: esplenomegalia mide 130 mm DL x 82mm AP. RIÑÓN DERECHO: de aspecto atrófico, aumentado de ecogenicidad sin diferenciación corticomedular. Mide 41mm. RIÑÓN IZQUIERDO: no visualizado cotejar con antecedentes del paciente. En fosa renal no se observan LOE. No se observa líquido libre en cavidad abdominal al momento del examen.
  • Ecografía Doppler del injerto renal (21/02/26): Ubicado en FII. Tamaño normal, morfología normal. 100mm DL Vía excretora de calibre conservado. Ecoestructura conservada. Parénquima homogéneo. ECM conservado. No se observan imágenes de urolitiasis. Arteria renal permeable, flujo anterógrado. IR 0.83,  Arterias intrarrenales, flujo conservado. Arteria lobar IR 0.73, arteria arcuata IR 0.67. Vena renal permeable.
  • Tomografía axial computada de tórax sin contraste EV (21/02/26): La porción visualizada de la glándula tiroides es de características normales. Las estructuras vasculares supraaórticas son de características normales La aorta ascendente, el cayado y la aorta descendente son de calibre y trayecto conservados. Tronco innnominado aumentado de calibre. Las demás estructuras venosas mediastinales: vena cava superior, vena cava inferior venas pulmonares superiores e inferiores y venas ácigo-hemiácigos, son de calibre y trayecto conservado. La arteria pulmonar y sus ramas son de calibre y trayecto conservados. Relación aórtico pulmonar conservada. Cardiomegalia. El pericardio es de espesor conservado. El esófago es de calibre y trayecto normales. El mediastino está en posición central. El árbol Traqueobronquial no presenta alteraciones. Formación nodular sólida pericisural que mide 12 mm en segmento lateral del lóbulo medio. Micronódulo subpleural de 1mm en ápice pulmonar derecho. Atelectasia laminar en segmento posterior del lóbulo inferior izquierdo. No se observa engrosamiento o derrame pleural. Cambios degenerativos a nivel de la columna dorsal. Las porciones visualizadas del hígado, pielicas, glándulas adrenales y ambos riñones no evidencian alteraciones. Impresiona esplenomegalia. Informe definitivo pendiente.

Exámenes Complementarios actuales: 

Laboratorio:Día 0Día 3
Hemoglobina (g/dL)12.110.9
Hematocrito (%)3632
VCM (fl)82.680.7
HCM (pg)28.127.7
Glóbulos blancos (/mm)4.5404.530
Neutrófilos (%)--
Eosinófilos (%)--
Basófilos (%)--
Linfocitos (%)--
Monocitos (%)--
Plaquetas (/mm)132.000110.000
Glicemia (mg/dl)11678
Urea (mg/dl)4968
Creatinina (mg/dl)1.511.89
Sodio (mEq/l)133131
Potasio (mEq/I)4.634.01
Cloro (mEq/l)9494
Calcio (mg/dL)--
Fósforo (mg/dL)--
Magnesio (mg/dL)--
Bilirrubina total (mg/dL)sin reactivosplasma no ictérico.
TGO (UI/L)-28
TGP (UI/L)-40
FAL (UI/L)-55
GGT (UI/L)-77
CPK (UI/L)-51
LDH (UI/L)-147
VES (mm/1° hora)23-
PCR (mg/L)2.5-
TP (seg)12.5-
KPTT (seg)29-
  • Tasa de filtrado glomerular estimado (TFGe) MDRD (día 0):  54.98 ml/min/m2 sup. 
  • Electrocardiograma 12 derivaciones (día 1): ritmo regular, sinusal, FC 90 lpm, eje cardíaco 20°,  intervalo PR 0.16 seg, segmento QRS 0.08 seg. Sin signos agudos de isquemia. 
  • Hisopado de lesiones cutáneas (día 1): PCR Herpes Simplex I y II no detectable. PCR para Virus Varicela Zoster detectable. 
  • Hemocultivo micológico (día 1): negativo en curso. 
  • Cultivo para micosis profunda de biopsia cutánea (día 1): negativo en curso. 
  • Antígeno urinario para Histoplasma capsulatum (día 1): positivo. 
  • Antígeno urinario para Histoplasma capsulatum (día 2): positivo.
  • Serología VIH (día 2): Ac. anti HIV-1/2  y Ag. p24 de HIV no reactivo. 
  • Serología VHB (día 2): HBsAg no reactivo. 
  • Serología VHC (día 2): aHCV -. (Reactivo 11/08/2025)
  • VDRL suero (día 2): no reactivo. 
  • Ferritina (día 2): 191.3 ng/ml (VN 30-400 ng/ml).
  • Ecografía abdominal (día 2):  paciente sin ayuno. HÍGADO: ecoestructura ligeramente heterogénea, con incremento del grosor de los ecos. Mide 15 cm (L).Sin lesiones netas en los segmentos visualizados. VESÍCULA: colapsada, impresiona alitiásica. VÍA BILIAR: de calibre conservado. PÁNCREAS: no visualizado por interposición gaseosa. BAZO: esplenomegalia, de parénquima homogéneo. Mide 14 cm (L). RIÑÓN DERECHO: en proyección de fosa lumbar correspondiente se visualiza imagen compatible con riñón, disminuido de tamaño, aumentado de ecogenicidad, de contornos irregulares. A nivel de polo superior visualiza una imagen redondeada, anecoica, de aspecto líquido de 6.7 MM. No se visualiza riñón izquierdo en su topografía habitual. RIÑÓN TRASPLANTADO: Ubicado en FII.  Tamaño, situación y morfología normal. Mide (DL) 106 mm. ECM 13 mm, respetado. Vía excretora de calibre conservado. No se observan imágenes de litiasis.
  • Interconsulta al Servicio de Oftalmología (día 9): 
    • Biomicroscopía con tinción de fluoresceína de ambos ojos: conjuntiva clara, cámara translúcida,  no tiñe. Cámara formada sin reacción. 
    • Fondo de ojos izquierdo y derecho: papila de bordes netos, excavación fisiológica. Mácula satisfactoria. Retina aplicada. No se observan lesiones. 
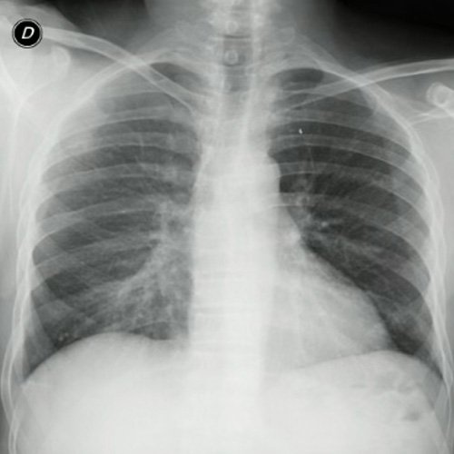
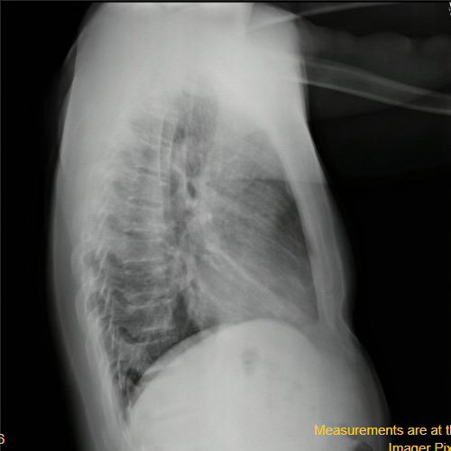
  • Radiografía de tórax frente/perfil (día 3): rotada, índice cardiotorácico conservado, senos costofrénicos libres. Radiopacidad parahiliar derecha. 

Evolución: 

A su ingreso por presentar lesiones con alta sospecha de herpes zoster se inicia tratamiento empírico con aciclovir endovenoso, y ampicilina por sospecha de sobreinfección bacteriana en lesión nasal, ajustado a función renal. Concomitantemente, por presentar lesiones diseminadas con centro necrótico, con sospecha de histoplasmosis, se solicita antígeno urinario para histoplasma y se mantiene tratamiento antifúngico expectante.

Al día 1, fue evaluado por Servicio de Dermatología quienes realizan punción biopsia de lesión cutánea y se derivan muestras para análisis anatomopatológico y cultivo micológico. Dicho servicio indica aplicación diaria de agua ictiolada en lesión nasal. Además se toma muestra de secreción de lesiones vesiculares para análisis de PCR viral para Herpes Simplex I y II, y Varicela Zoster, de las cuales se obtiene resultado positivo para Virus Varicela Zoster. Se obtiene resultado positivo de antígeno urinario para Histoplasma capsulatum, en dos oportunidades.

Servicio de Trasplante Renal suspende micofenolato e inicia everolimus. 

Al día 2, se solicita ecografía abdominal, radiografía de tórax y evaluación a los servicios de Otorrinolaringología, quienes realizan nasofibroscopia donde no se evidencian lesiones mucosas, y Oftalmología que realiza biomicroscopía y fondo de ojos, sin hallazgos patológicos.  

Se recibe informe verbal del examen directo de biopsia cutánea por parte del Servicio de Micología; se observan levaduras compatibles con Histoplasma Capsulatum, por lo que inicia tratamiento endovenoso con anfotericina B liposomal. 

Pendientes: 

  • Completar 14 días de tratamiento endovenoso con anfotericina B liposomal y 21 días de tratamiento endovenoso con aciclovir.
  • Seguimiento de cultivos (cultivo micológico de biopsia cutánea y hemocultivos micológicos). 
  • Informe anatomopatológico de biopsia cutánea. 

 

No hay información de la discusión.

No hay información de la evolución.

Lesiones cutáneas.

Lesiones cutáneas.

Lesiones cutáneas.

Lesiones cutáneas.

Lesiones cutáneas.

Lesiones cutáneas.

Lesiones cutáneas.

Lesiones cutáneas.

Lesiones cutáneas.

Lesiones cutáneas.

Radiografía de tórax frente y perfil. (día 3).

Radiografía de tórax frente y perfil. (día 3).

Radiografía de tórax frente y perfil. (día 3).

Radiografía de tórax frente y perfil. (día 3).

Examen directo con tinción Giemsa de biopsia cutánea.

Examen directo con tinción Giemsa de biopsia cutánea.